
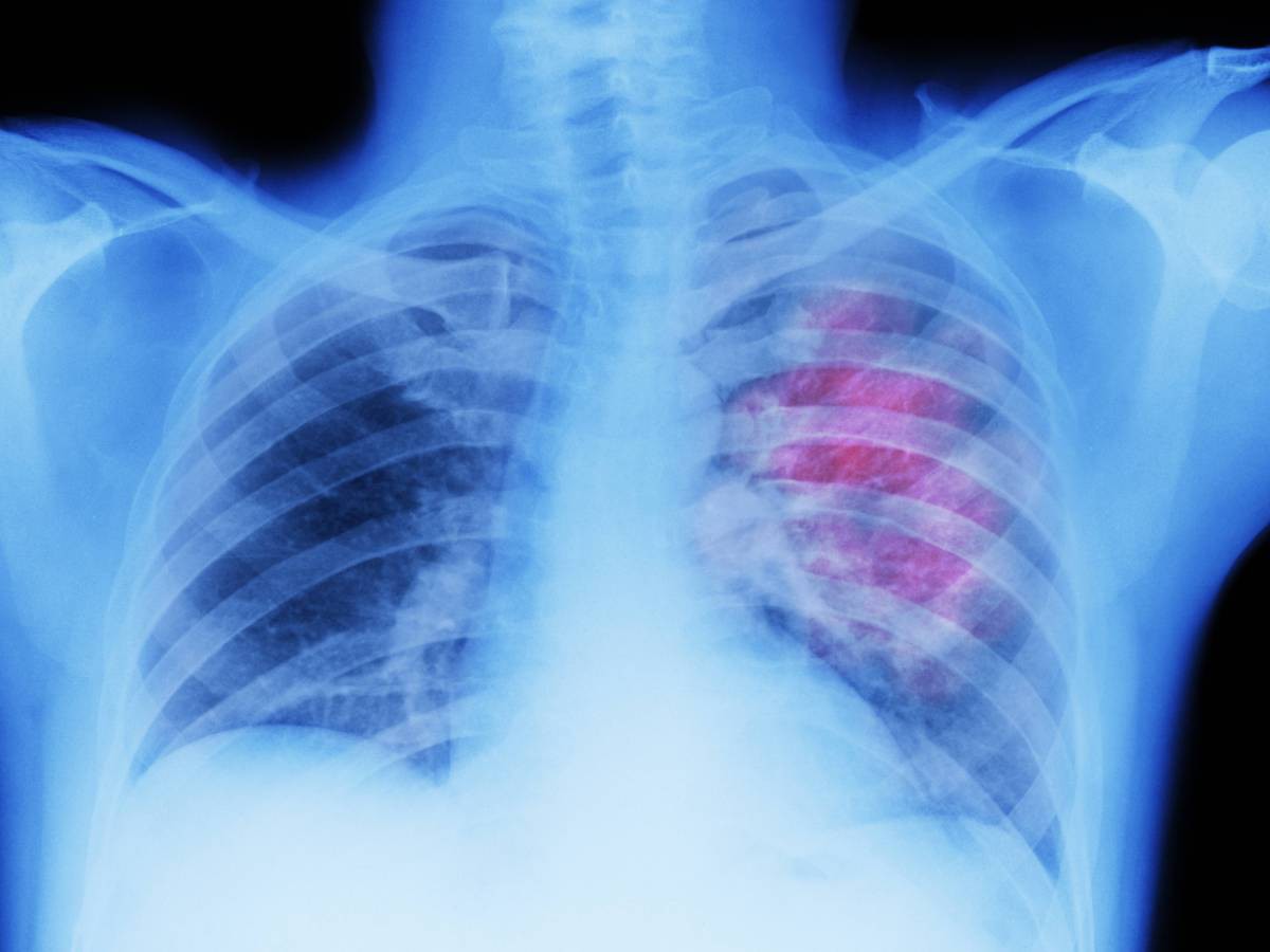
Симптомы воды в легких
Основной симптом, характерный для жидкости в легких, — это одышка. Появляется она из-за того, что кровь недостаточно насыщается кислородом. В самом начале приступа это проявление умеренное, но по мере наполнения органа водой дыхание становится все более затрудненным, мешая человеку жить. Как правило, больной чувствует проблемы именно на вдохе.
Кроме одышки, часто человека беспокоят и такие признаки, как:
- Удушье. Это осложнение одышки. Может возникнуть даже в состоянии полного покоя.
- Беспокойное поведение. Как правило, оно беспричинное. Часто перерастает в нервозность и даже в головокружение, потерю сознания.
- Кашель. Это еще один явный признак скопления жидкости внутри легких. Для такого состояние характерен прерывистый кашель. Иногда — с выделением мокроты.
- Синюшность кожных покровов. Такой симптом — следствие кислородного голодания. Особенно отчетливо его видно в зоне носогубного треугольника.
- Боль в нижней части грудины. Возможно ее усиление при физической активности. Часто при движении она сопровождается булькающими звуками.
Информация! Одышка в утренние часы и без явных причин должна вызвать беспокойство. Этот симптом — повод для обращения к врачу.
Жидкость в легких у пожилых людей является серьезной проблемой, требующей внимательного подхода. Врачи отмечают, что основными причинами появления жидкости могут быть сердечная недостаточность, пневмония, хронические заболевания легких и даже онкологические процессы. Важно понимать, что самолечение в таких случаях может быть опасным. Однако, в домашних условиях можно предпринять некоторые меры для облегчения состояния. Врачи рекомендуют следить за уровнем жидкости в организме, ограничивая потребление соли и увеличивая количество выпиваемой воды. Также полезны дыхательные упражнения и регулярные прогулки на свежем воздухе. Тем не менее, при появлении симптомов, таких как одышка или сильный кашель, необходимо незамедлительно обратиться к специалисту для получения квалифицированной помощи.

Жидкость в легких у пожилых людей является серьезной проблемой, требующей внимательного подхода. Врачи отмечают, что основными причинами появления жидкости могут быть сердечная недостаточность, пневмония, хронические заболевания легких и даже онкологические процессы. Важно понимать, что самолечение в таких случаях может быть опасным.
Специалисты рекомендуют проводить диагностику для определения точной причины и назначения адекватного лечения. В домашних условиях можно облегчить состояние пациента, обеспечив ему покой, повышенное потребление жидкости и использование увлажнителей воздуха. Однако, врачи подчеркивают, что любые меры должны быть согласованы с лечащим врачом, чтобы избежать осложнений и ухудшения состояния. Регулярные осмотры и контроль за состоянием здоровья являются ключевыми для пожилых людей, страдающих от этой проблемы.

Причины
Причин застоя жидкости в легких много. Повреждения кровеносных сосудов зависят от различных факторов. Но самыми частыми среди них врачи выделяют:
- осложненные формы воспаления легких;
- физические травмы головного мозга или грудины;
- новообразования;
- сердечная недостаточность и ее последствия — повышение давление в легочной артерии;
- сердечно-сосудистые заболевания;
- инфекционные болезни;
- тяжелые формы печеночных патологий (например, цирроз);
- как последствия длительного употребления наркотиков.
Жидкость в легких при онкологии
Наличие злокачественных новообразований — это одна из самых опасных причин появления жидкости в легких. Угрожающая она потому, что этот симптом возникает тогда, болезнь находится на последних стадиях развития, а потому помочь пациенту уже практически невозможно. Появляется острое состояние из-за недостатка белка, прогрессирования онкологии и, как следствие, истощения больного. У таких пациентов скопление воды происходит в плевральной полости или в тканях органа.
Жидкость в легких у пожилых людей — это серьезная проблема, о которой часто говорят в медицинских кругах и среди близких. Основными причинами появления жидкости могут быть сердечная недостаточность, пневмония или хронические заболевания легких. Пожилые люди более подвержены этим состояниям из-за ослабленной иммунной системы и других сопутствующих заболеваний.
Лечение в домашних условиях включает в себя несколько важных аспектов. Во-первых, необходимо следить за режимом питья, чтобы избежать избыточного накопления жидкости. Во-вторых, полезно выполнять дыхательные упражнения, которые помогут улучшить вентиляцию легких. Также рекомендуется использовать травяные настои, такие как отвар шалфея или чабреца, которые обладают противовоспалительными свойствами. Однако перед началом любых домашних процедур важно проконсультироваться с врачом, чтобы избежать осложнений и подобрать оптимальное лечение.
Жидкость в легких у пожилых людей — это серьезная проблема, о которой часто говорят врачи и пациенты. Основные причины появления этой патологии могут включать сердечную недостаточность, пневмонию или хронические заболевания легких. Люди отмечают, что симптомы, такие как одышка и кашель, могут значительно ухудшить качество жизни.
В домашних условиях важно следить за состоянием здоровья, соблюдать режим питья и питания. Некоторые рекомендуют использовать травяные чаи, такие как отвар шалфея или череды, которые могут помочь улучшить отхождение жидкости. Также полезно выполнять дыхательные упражнения и избегать переохлаждения. Однако важно помнить, что самолечение может быть опасным, и при ухудшении состояния необходимо обратиться к врачу. Регулярные медицинские осмотры помогут предотвратить осложнения и поддерживать здоровье на должном уровне.
После операции на сердце

Воспалительные процессы

Физические травмы груди
Еще одна из причин появления скопления жидкости — травма грудной клетки и ушиб легкого. Иногда после удара, сдавливания или сотрясения сосуды и бронхи повреждаются, что и приводит к кровоизлиянию. Случается и такое, что легкие больного наполняются кровью и воздухом, но внешняя оболочка при этом не повреждена.
Диагностировать и вылечить кровоизлияние в этом случае несложно — человека беспокоят боли в области пораженного легкого, которые значительно усиливаются при вдохе и движении. Также можно заметить учащенное дыхание и синюшность кожи, вызванные недостатком кислорода. Очень часто на грудной клетке больного образуются синяки и кровоподтеки. В самых тяжелых случаях наблюдается и кровохарканье.
Диагностика
Для того чтобы верно определить причину скопления жидкости и назначить лечение, врачу необходимо провести диагностику. Обследование больного проходит в несколько этапов. Сначала изучают оба легких пациента путем:
- визуализации грудной клетки — при некоторых формах болезни меняется и форма грудины;
- определения болевых точек;
- ультразвукового исследования;
- лабораторного исследования выпота.
Информация! Кроме этого, назначают исследование крови, в котором определяют количество газов в составе биоматериала, наличие раковой опухоли и свертываемость.
Поскольку возможных причин такого состояния много, третий этап обследования направлен на их поиск. Особое внимание врачи обращают работе печени, почек и сердца. Больному назначают:
- Общий анализ мочи.
- Ультразвуковое исследование.
- Компьютерную томографию.
- Магнитно-резонансную томографию.
Лечение
Лечение жидкости в легких зависит от того, что стало причиной такого состояния. Немалую роль играет и самочувствие больного. План терапии назначает лечащий врач после полной диагностики. Основные принципы лечения при том или ином заболевании описаны в таблице ниже.
| Факторы | Методы лечения |
| Воспалительный процесс | Улучшить состояние больного может только комплексное лечение, поэтому пациенту назначают антибактериальные препараты, отхаркивающие вкупе с ингаляциями, иммуностимуляторы и витамины |
| Раковые новообразования | Здесь лечение зависит от стадии заболевания и объема жидкости. Лечение проводят только в том случае, если опухоль можно убрать хирургическим методом. Если же помощь больному неэффективна, пациенту назначают препараты, которые снимают симптомы |
| Лейкоз | В этом случае терапия направлена в первую очередь на лечение лейкоза, а уже после — удаление выпота. При этой болезни очень важно не допускать развитие воспалительных процессов, поскольку они могут ухудшить состояние больного вплоть до его смерти |
| Сердечная недостаточность | При сердечных патологиях применяют поэтапное лечение. Сначала препятствуют образованию пены в легких, обезболивают, подавляют психомоторную активность путем приема нейролептиков и избавляются от лишней жидкости с помощью мочегонных препаратов. После этого приступают к лечению сердечной недостаточности |
| Травмы | Для начала пациенту проводят эпидуральную анальгезию, а после этого прописывают ингаляции и физиопроцедуры. Если физическая травма сопровождается осложнениями, больного могут ограничить в принятии жидкости и назначить дренирование в грудной полости |
| После хирургического вмешательства | После оперативного вмешательства больному назначают курс лечебной гимнастики, который нацелен на увеличение объема легких и улучшение кровотока. Если нужно срочно снять отечность, пациенту прописывают кислородные маски, пеногасящие препараты, бронхорасширяющие и медикаменты, снижающие ишемию миокарда. В тяжелых случаях могут назначить ИВЛ. После снятия приступа лечение включает в себя прием успокоительных и диуретиков |
| Почечная недостаточность | Отек легких при почечной недостаточности возникает из-за того, что пораженный орган не в состоянии самостоятельно выводить жидкость из организма. Поэтому терапия включает нормализацию кислотно-щелочного баланса и поддержание водно-электролитного равновесия |
| Цирроз печени | Накопление выпота в легких при циррозе печени называется печеночным гидротораксом. Единственный эффективный метод лечения — это пересадка органа. Но для поддержания относительно нормального состояния больного ему назначают торакоцентез, диуретики и солевую диету |
| В пожилом возрасте | Лечение пожилых людей проводят только в условии стационара, методика терапии зависит от возраста пациента, тяжести его заболевания и наличие хронических заболеваний |
При тяжелом течение болезни прием лекарств — не единственный способ вывести лишнюю жидкость из легких. Еще один метод — это откачка. Проводят процедуру с применением местной анестезии путем прокалывания иглой. Техника этого метода выглядит следующим образом:
- С помощью ультразвукового исследования легких определяют локализацию скопления выпота.
- Пациента усаживают, немного наклоняя его вперед, и вводят местный анестетик.
- В область между ребрами под лопаткой вводят иглу.
- Откачивают жидкость.
- Устанавливают катетеры, через которые еще какое-то время выходит экссудат.
Народная медицина
Народные методы лечение — эффективное дополнение к уже назначенной терапии. И хоть одни природные средства не избавят от жидкости в легких, они существенно ускорят процесс восстановления больного в домашних условиях после основного лечения. Справка! Даже народные методы лечение нельзя применять без консультации врача. Каждый из рецептов основан на целебных свойствах трав, а потому имеет ряд противопоказаний.
Медовая настойка
Настойки на основе меда подходят для многих заболеваний. В том числе и для легочных, поскольку обладают хорошим отхаркивающим эффектом. Для приготовления медовой настойки нужно взять стакан ягод калины, по две столовые ложки цветков липы, листьев подорожника и спорыша, три листа мать-и-мачехи. Все это нужно залить полулитром водки, добавить 50 г меда и тщательно перемешать. Полученную смесь нужно настоять в темном месте на протяжении двух дней. Употреблять настойку необходимо каждый день по два-три раза после еды. Такой народный метод рекомендован при длительном прерывистом кашле.
Отвар из зерен аниса
Для приготовления отвара в глубокую емкость нужно насыпать одну столовую ложку семян аниса, залить её стаканом крутого кипятка и варить на протяжении четверти часа. Затем нужно накрыть полотенцем и настоять в течение получаса. По истечении времени в полученный отвар следует добавить одну столовую ложку коньяка и столько же меда. Такой рецепт очень эффективен для очищения бронхов и легких от мокроты. Кроме того, этот напиток снимает воспаление и стимулирует работу почек.
Лекарство из алоэ вера
Алоэ вера — это временами проверенное средство, которое улучшает деятельность иммунной системы и убивает микробы. Для приготовления лекарства на основе этого растения нужно взять 250 г измельченных листьев алоэ вера, добавить 200 мл оливкового масла и 150 г мёда. Все ингредиенты нужно тщательно перемешать и нагреть на водяной бане. Хранить лекарство следует в темном месте, а употреблять по одной чайной ложке за час до еды. Продолжительность лечения — 5 дней.
Петрушка
Петрушка — это эффективное народное средство, когда необходимо снять отек легких или вывести лишнюю жидкость из организма. Для приготовления напитка на его основе нужно взять 800 г листьев и залить одним литром свежего молока. Полученную смесь необходимо нагреть, но не доводить до кипения до тех пор, пока общий объем ее уменьшится ровно в 2 раза.
Сок луковицы
На основе сока луковицы готовят смеси для наружного применения. Такая мазь эффективна для уничтожения микробов, укрепления иммунитета, отхождения мокроты и улучшения дыхания. Для того чтобы приготовить смесь, возьмите лук и гусиный жир в соотношении один к одному, потрите овощ на крупной терке или мелко порежьте, а гусиный жир растопите на водяной бане. Затем перемешайте ингредиенты и сложите их в стерильную банку.
Корень синюхи
Отвар на основе корня синюхи оказывает отхаркивающее, успокоительное, мочегонное действие. Кроме того, он нормализует давление. Для приготовления напитка измельчитель корень синюхи поместите в стерильную емкость. Затем налейте воду соотношении три к одному и нагрейте смесь на водяной бане. Спустя полчаса процедите напиток.
Семена льна
Для приготовления лекарства из семян льна измельчите 3 чайные ложки растения и добавьте одну чайную ложку меда. Получившуюся смесь тщательно перемешайте. Такое средство имеет хороший противовоспалительный эффект. Кроме того, оно нормализует давление, предупреждает развитие рака, восстанавливает работоспособность печени и повышает общий иммунитет.
Диета и физические нагрузки
Эффективность лечения зависит в том числе от диеты и от физических нагрузок пациента. Чтобы не только не усугубить проблемы, но и улучшить состояние, диетологи советуют придерживаться специального питания:
- прежде всего, нужно поддерживать питьевой режим — в день стоит выпивать не меньше полутора литров воды;
- перед сном следует ограничить себя в плотной пище — лучше съесть легкий перекус;
- есть лучше каждые 3-4 часа, не допуская перекусов;
- рацион больного должен быть максимально разнообразным — он должен включать в себя мясо, рыбу, птицу, овощи, фрукты и цельнозерновые продукты.
Улучшить иммунитет снять приступ удушья поможет не только правильная диета, но и умеренные физические нагрузки. врачи советуют каждый день делать зарядку, которая включает в себя следующие упражнения:
- Руки нужно расположить вдоль тела. На вдохе их следует поднимать, а на выдохе опускать.
- Это упражнение похоже на предыдущее. Только на вдохе руки нужно поднимать в бок, а при выдохе так же опускать.
- Для следующего упражнения нужно лечь на спину, поочередно сгибать левую и правую ногу в коленном суставе.
- Лежа на спине нужно упереться локтями в пол и приподнимать грудную клетку на счёт “раз-два”.
Последствия и прогноз
Тяжелая форма отека легких редко может проходить без осложнений. Уже после лечения у пациента могут наблюдать разблокировку нервной системы, вегетососудистую дистонию или дисфункцию печени. Такие проблемы практически всегда сопутствуют образованию жидкости в легких.
А вот прогноз при лечении полностью зависит от тяжести заболевания и от общего состояния больного. Своевременное лечение и верная постановка диагноза способствуют быстрому восстановлению с наименьшим риском осложнения. Тогда пациент проживет еще не один десяток лет. Но в запущенных состояниях болезнь может привести даже к смерти человека.
При первом же обнаружении симптомов жидкости в легких, не тяните и обратитесь к врачу. Помните, что только от правильности поставленного диагноза и от того, как скоро вам окажут помощь, зависит эффективность лечения. Будьте здоровы!
Вопрос-ответ
Какие основные причины появления жидкости в легких у пожилых людей?
Жидкость в легких у пожилых людей может возникать по нескольким причинам, включая сердечную недостаточность, пневмонию, хронические заболевания легких, такие как ХОБЛ, а также инфекции. У пожилых людей также может наблюдаться снижение иммунной функции, что увеличивает риск развития заболеваний, приводящих к накоплению жидкости.
Как можно облегчить состояние пожилого человека с жидкостью в легких в домашних условиях?
Для облегчения состояния можно использовать несколько методов: обеспечить пациенту приподнятое положение, что поможет улучшить дыхание; проводить регулярные дыхательные упражнения; использовать увлажнители воздуха для улучшения влажности в помещении; а также следить за потреблением жидкости и солью, чтобы избежать перегрузки организма. Однако важно помнить, что такие меры не заменяют медицинскую помощь.
Когда следует обратиться к врачу при наличии жидкости в легких?
Необходимо обратиться к врачу, если у пожилого человека наблюдаются симптомы, такие как одышка, сильный кашель, боль в груди, высокая температура или общее ухудшение состояния. Эти признаки могут указывать на серьезные заболевания, требующие немедленного медицинского вмешательства.
Советы
СОВЕТ №1
Регулярно проводите контрольное обследование у врача. Пожилые люди особенно подвержены заболеваниям легких, поэтому важно своевременно выявлять проблемы и получать рекомендации по лечению.
СОВЕТ №2
Увлажняйте воздух в помещении. Сухой воздух может усугубить состояние легких, поэтому использование увлажнителей или простое проветривание поможет облегчить дыхание.
СОВЕТ №3
Следите за уровнем физической активности. Легкие упражнения, такие как прогулки на свежем воздухе, могут помочь улучшить дыхательную функцию и способствовать выведению лишней жидкости из легких.
СОВЕТ №4
Обратите внимание на питание. Употребление продуктов, богатых антиоксидантами и омега-3 жирными кислотами, может поддержать здоровье легких и улучшить общее состояние организма.

