
Особенности строения и функции
Первым делом важно понять, что же из себя представляет Виллизиев круг (ВК). По сути, это анастомоз мозговых артерий, имеющий овальную форму.
Первооткрывателем этого образования стал британский ученый по имени Томас Уиллис. Как известно, Виллизиев круг образуется несколькими артериями, среди которых:
- внутренние сонные;
- соединительная;
- задняя и передняя мозговые.

Основная функция системы заключается в обеспечении достаточного кровотока отдельных участков мозга человека. Это крайне важно при различных нарушениях кровоснабжения в шейных артериях.
Снижение скорости тока крови по артериям в области шеи может привести к кислородному голоданию головного мозга, в результате которого начнут развиваться всевозможные патологии. Чтобы минимизировать риск возникновения последних, и нужен ВК.
Обеспечение полноценной работы круга достигается благодаря тому, что сонные артерии коммутируют не только друг с другом, а еще и с позвоночной системой. Подобная схема дает возможность на постоянной основе обеспечивать поступление питательных веществ в область головного мозга.
Статистика свидетельствует о том, что со стандартным вариантом развития Виллизиев круг встречается только в 50% случаев. У остальных людей наблюдается нарушенная симметрия.
Врачи отмечают, что Виллизиев круг играет ключевую роль в обеспечении кровоснабжения головного мозга. Это анатомическое образование, состоящее из соединений основных артерий, обеспечивает коллатеральное кровообращение, что особенно важно при наличии сосудистых заболеваний или окклюзий. Специалисты подчеркивают, что его особенности строения могут варьироваться у разных людей, что может влиять на эффективность кровоснабжения. В случае недостаточности кровотока в одной из артерий, Виллизиев круг способен компенсировать это, направляя кровь из других источников. Однако, по мнению врачей, аномалии в его строении могут привести к серьезным последствиям, таким как инсульт. Поэтому понимание анатомии и функций Виллизиева круга является важным аспектом в нейрохирургии и неврологии.
Врачи отмечают, что Виллизиев круг играет ключевую роль в обеспечении кровоснабжения головного мозга. Это анатомическое образование, состоящее из соединительных артерий, расположенных на основании мозга, обеспечивает коллатеральное кровообращение. В случае сужения или блокировки одной из основных артерий, Виллизиев круг может компенсировать недостаток кровотока, что снижает риск ишемии и инсульта.
Специалисты подчеркивают, что индивидуальные особенности строения Виллизиева круга могут варьироваться у разных людей, что влияет на его функциональность. Например, у некоторых пациентов могут наблюдаться аномалии, такие как недоразвитие или отсутствие одной из артерий, что может повышать риск сосудистых заболеваний. Поэтому врачи рекомендуют регулярные обследования для оценки состояния сосудов и предотвращения возможных осложнений.

Возможные отклонения
Анатомия человека предполагает сложное строение органов и систем, ведь только так организм сможет полноценно работать. К сожалению, нередко в силу каких-то определенных причин диагностируются различные отклонения. Не является исключением и Виллизиев круг.
Зачастую отклонения от стандартной схемы развития выражаются в асимметрии ветвей или полном отсутствии некоторых участков. Кроме того, бывает так, что в позвоночных артериях отличается диаметр частей сзади и впереди. Исследования показывают, что различные нарушения симметричности круга могут быть следствием постоянных приступов мигрени . Основные патологии:
- Аневризма. Характеризуется выпячиванием артериальной стенки наружу. Патология никак не проявляет себя до того момента, пока аневризма не разорвется. В результате этого происходит мозговое кровоизлияние. Человек ощущает сильную боль в голове, начинает остро реагировать на яркий свет, у него появляется тошнота и рвота. Если вовремя не оказать квалифицированную помощь, больной может умереть.
- Трифуркация артерии, при которой происходит расщепление сонной артерии на 3 части. По статистике, подобное отклонение наблюдается в 30% случаев. Патология не опасна до того момента, пока не начнут происходить окклюзионные изменения. Подобные нарушения бывают передними и задними. Появление обусловлено задержкой и редукцией во время эмбриональной фазы.
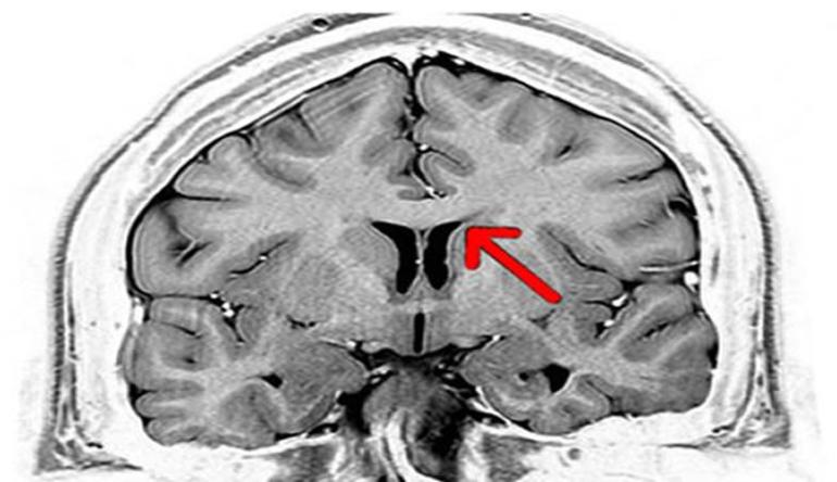
- Гипоплазия — специфический порок развития, который характеризуется чрезмерно маленькими размерами артерий. Если в других мозговых отделах кровообращение нормальное, патология будет развиваться без каких-либо симптомов. Гипоплазию можно обнаружить при проведении комплексной диагностики работоспособности головного мозга. Подобное отклонение отчетливо видно на снимках МРТ.
- Аплазия представляет собой состояние, когда ВК не замкнут из-за отсутствия соединяющей артерии. Примечательно, что такое отклонение может развиваться и в передней, и в задней части. Однако последний вариант встречается намного чаще. Если артерия есть, но развита очень слабо, диагностируется частичная разомкнутость круга. Обследование разомкнутого круга происходит при помощи магнитно-резонансной томографии. Причиной возникновения подобной патологии является остановка развития на этапе формирования плода.
Последствия аномального развития
В нормальном состоянии ВК замкнут, он является своеобразной резервной системой. При отсутствии отклонений в работе артерий шеи он никак не задействуется. Именно поэтому, если в нем развиваются патологии, они ни коим образом не проявляются.

Врожденные патологии при определенных обстоятельствах могут привести к затруднению кровоснабжения мозга. Это состояние может проявляться в детском возрасте и с годами только усугубляться. По сравнению с другими мозговыми артериями, в области Виллизиева круга нет разницы давления. В силу этого могут возникать различные негативные последствия:
- дискомфорт при резком изменении положения головы;
- приступы мигрени, сопровождающиеся тошнотой, а также светобоязнью;
- частое головокружение;
- головные боли, купировать которые не всегда получается даже сильными обезболивающими.
Наиболее опасным отклонением является аневризма. Она возникает из-за истончения артериальных стенок. Проблема заключается в том, что процесс протекает абсолютно бессимптомно. Примечательно, что даже самые незначительные воздействия на голову могут привести к разрыву аневризмы. Человек может погибнуть, если вовремя не принять меры.
Виллизиев круг — это уникальная анатомическая структура, расположенная на основании мозга, которая играет ключевую роль в кровоснабжении центральной нервной системы. Многие специалисты отмечают его важность в обеспечении коллатерального кровообращения. Это означает, что в случае закупорки одной из артерий, кровь может поступать в мозг через другие сосуды, что снижает риск инсульта.
Строение Виллизиева круга включает в себя несколько крупных артерий, таких как передняя и задняя мозговые артерии, а также базилярную артерию. Эта сложная сеть сосудов обеспечивает не только защиту, но и оптимальное распределение крови, что особенно важно для поддержания нормальной функции мозга.
Медики и нейрохирурги подчеркивают, что аномалии в развитии Виллизиева круга могут привести к серьезным последствиям, таким как ишемия или инсульт. Поэтому его изучение и понимание остаются актуальными в нейрологии и ангиохирургии.

Виллизиев круг — это уникальная анатомическая структура, расположенная в основании мозга, которая играет ключевую роль в кровоснабжении центральной нервной системы. Он состоит из соединительных артерий, образующих кольцо, которое обеспечивает взаимосвязь между передними и задними артериями мозга. Люди, изучающие анатомию и неврологию, отмечают, что Виллизиев круг служит важным резервуаром для кровотока, позволяя компенсировать недостаток кислорода в случае закупорки одной из артерий. Это особенно важно для предотвращения инсультов и других серьезных заболеваний. Однако, несмотря на его защитные функции, не все люди имеют полностью сформированный Виллизиев круг, что может повлиять на их здоровье. Исследования показывают, что вариации в строении этой структуры могут быть связаны с наследственными факторами и индивидуальными особенностями.
Методы диагностики
Зачастую патологии развития ВК обнаруживаются в процессе комплексного обследования человека, если он обращается к специалисту с жалобами на постоянные головные боли. Первым делом в этом случае врач проверяет наличие каких-либо нарушений кровоснабжения головного мозга. Существует несколько способов диагностики:
- МРТ на сегодняшний день является самым точным способом обследования. Диагностика осуществляется на магнитно-резонансном томографе. Принцип работы заключается в воздействии магнитным полем на клетки тела с последующей фиксацией их реакции. Такой диагностический метод позволяет получить информацию о состоянии любого органа человека. Не является исключением и сосудистая система. В силу того, что обследование неинвазивное, процедура считается безопасной. Радиоактивное облучение при этом не используется.
- Компьютерная томография используется для определения точного размещения и состояния артерий. В процессе обследования используется рентгеновское облучение. Однако несмотря на то, что его доза незначительна, такой способ нельзя считать полностью безопасным для человека.
- Ангиография — сегодня один из самых востребованных способов диагностики сосудистой системы. Сначала в кровь пациента вводят контрастирующее вещество. После равномерного распределения последнего по всем артериям делают рентген. В результате процедуры на снимке хорошо отображаются все отклонения. Контраст полностью безопасен для человека, спустя некоторое время он полностью выводится естественным путем.
Лечение и профилактика
Нередко пациенты узнают о патологиях сосудистой системы лишь после комплексной диагностики, на которую их направляет врач из-за различных проблем со здоровьем. Неудивительно, что люди задумываются способами лечения сосудистых нарушений.
Прежде всего в кровеносной системе человека нужно предотвратить декомпенсацию, постараться не перегружать сосуды и поддерживать ток крови на физиологическом уровне. Для этого необходимо проводить ряд определенных мероприятий:
- регулярное измерение показателей холестерина;
- своевременное лечение заболеваний сердца и сосудов, ВСД;
- регулярный контроль показателей свертываемости крови;
- нормализация давления.
Если у человека наблюдаются регулярные приступы мигрени, особенно когда речь идет о состояниях со зрительными нарушениями, необходимо в обязательном порядке уточнить диагноз у специалиста. Самыми информативными способами диагностики являются транскраниальная допплерография, а также МРТ.
При выявлении патологии в строении артерий следует регулярно проводить диспансеризацию, посещая кардиолога, терапевта и т. д. Необходимо принимать курсы сосудистых препаратов, среди которых Кавинтон, а также Пентоксифиллин. Для улучшения кровоснабжения тканей и ускорения метаболизма часто назначают прием ноотропов, среди которых:
- Винпотропил.
- Ноотропил.
- Фезам.
Кроме того, ежегодно нужно проходить курс лечения антиоксидантными и метаболическими препаратами. Чтобы поддерживать работу нейронов мозга, следует принимать витамин В.

Оперативное вмешательство
Если у пациента выявлена аневризма, необходима срочная операция. Никакие другие способы не помогут в борьбе с этой проблемой. Проводится оперативное вмешательство под общим наркозом.
Врач делает в области черепа больного трепанационное отверстие. Затем, чтобы получить доступ к поврежденной артерии, хирург раздвигает ткани. На следующем этапе специальным инструментом доктор удаляет патологическую область, а затем перевязывает сосуд.
После окончания всех манипуляций восстанавливается оболочка мозга и накладываются швы. В большинстве случаев после подобных операций пациенту назначается медикаментозная терапия с целью предотвращения развития осложнений.
Однако есть и другой вариант, при котором патология не удаляется, следовательно, сосуды не разрываются. Манипуляции проводятся под местной анестезией. Врач прокалывается сосуд, а затем вводит специальный инструмент, при помощи которого заполняется микроспиралями вся полость аневризмы. Вследствие подобных манипуляций в последней формируется плотный тромб. В результате этих процедур патологию полностью убирают из процесса кровообращения.
Хирург должен внимательно действовать во время проведения операции. Это обусловлено тем, что любая неточность может стать причиной разрыва аневризмы и последующего кровоизлияния. Через 3 месяца после вмешательства в обязательном порядке нужно провести контрольное обследование.
Виллизиев круг, по сути, является резервной системой мозгового кровоснабжения. В случае выявления каких-либо отклонений, следует регулярно проходить обследования, чтобы предотвратить развитие аневризмы. При недостаточном кровоснабжении, которое вызвано патологиями строения или тромбозом, именно ВК предотвратит гибель нейронов, перенаправив кровяные потоки. Важно понимать, что при осуществлении регулярной диагностики и проведении курсовой терапии у больного есть высокие шансы на нормальную и полноценную жизнь.
Вопрос-ответ
Что такое Виллизиев круг и где он расположен?
Виллизиев круг — это анатомическая структура, представляющая собой сеть артерий, расположенную на основании мозга. Он образован соединением передних и задних мозговых артерий, а также соединительными артериями, что обеспечивает кровоснабжение головного мозга и его защиту от ишемии.
Какие функции выполняет Виллизиев круг?
Основная функция Виллизиева круга заключается в обеспечении коллатерального кровообращения. Это значит, что в случае закупорки одной из артерий, кровь может поступать в мозг через другие артерии, что снижает риск повреждения тканей мозга из-за недостатка кислорода.
Каковы клинические последствия нарушений в работе Виллизиева круга?
Нарушения в работе Виллизиева круга могут привести к различным неврологическим расстройствам, таким как инсульт или транзиторная ишемическая атака. Эти состояния могут возникнуть из-за недостаточного кровоснабжения определенных участков мозга, что может вызвать симптомы, такие как головокружение, слабость, нарушение речи и координации.
Советы
СОВЕТ №1
Изучите анатомию Виллизиева круга, чтобы лучше понять его расположение и функции. Знание основных артерий и их взаимосвязей поможет вам осознать, как этот сосудистый комплекс обеспечивает кровоснабжение головного мозга.
СОВЕТ №2
Обратите внимание на факторы, которые могут влиять на здоровье Виллизиева круга, такие как артериальная гипертензия и атеросклероз. Регулярные медицинские обследования и контроль за состоянием сердечно-сосудистой системы помогут предотвратить возможные осложнения.
СОВЕТ №3
Если у вас есть предрасположенность к заболеваниям сосудов, рассмотрите возможность консультации с врачом-неврологом. Он сможет дать рекомендации по профилактике и лечению заболеваний, связанных с нарушением кровообращения в мозге.
СОВЕТ №4
Изучите влияние образа жизни на здоровье Виллизиева круга. Правильное питание, физическая активность и отказ от вредных привычек способствуют улучшению кровообращения и поддержанию нормального функционирования сосудистой системы.

