Понятие моноцитов

Фагоциты – это иммунные клетки, защищающие организм поглощением чужеродных патогенов – вирусов и бактерий, а также мертвых или погибающих клеток.
Моноциты играют важную роль в иммунной системе, и их уровень в крови может варьироваться в зависимости от возраста и состояния здоровья женщины. Врачи отмечают, что нормальные показатели моноцитов у женщин составляют от 2 до 8% от общего числа лейкоцитов. С возрастом этот диапазон может немного изменяться, что связано с естественными процессами старения и изменениями в организме. Специалисты подчеркивают, что важно учитывать не только абсолютные значения, но и соотношение моноцитов с другими клетками крови. Повышенные уровни могут указывать на воспалительные процессы или инфекции, в то время как пониженные могут свидетельствовать о снижении иммунной функции. Регулярные анализы крови и консультации с врачом помогут своевременно выявить возможные отклонения и принять необходимые меры для поддержания здоровья.

Моноциты — это тип белых кровяных клеток, играющих важную роль в иммунной системе. Врачи отмечают, что норма моноцитов в крови у женщин варьируется в зависимости от возраста. У молодых женщин, как правило, уровень моноцитов составляет от 2 до 8% от общего числа лейкоцитов. С возрастом этот показатель может изменяться, и у женщин старше 50 лет норма может колебаться в пределах 3-10%. Врачи подчеркивают, что отклонения от этих значений могут указывать на различные заболевания, включая инфекции, воспалительные процессы или даже онкологические заболевания. Поэтому регулярный мониторинг уровня моноцитов является важным аспектом поддержания здоровья и ранней диагностики возможных проблем.
Как выглядят
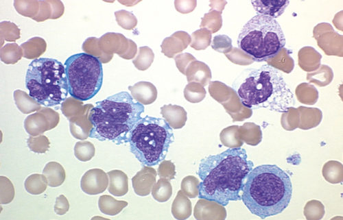
Диаметр моноцитов составляет примерно 20 мкм. В центре каждой лейкоцитарной клетки – ядро, имеющее рыхлую хроматиновую сеть. Подобно лимфоцитам, моноциты обладают полиморфными, несегментированными ядрами. Клетки имеют форму боба. Внутри них – цитоплазматическая жидкость.
Где образуются
Моноциты – довольно большие одноядерные клетки, созревающие в костном мозге. Оттуда они направляются в кровь. Туда поступают наиболее зрелые моноциты, обладающие мощным фагоцитарным действием. Последующие пять суток клетки дозревают, становясь компонентом периферической крови.
Если у женщины здоровая кроветворная и лимфатическая система, моноциты живут в крови от 20 до 40 часов. Потом они переносятся в мягкие ткани, трансформируясь в макрофаги и становясь компонентом иммунной системы. Макрофагами называют клетки, захватывающие и переваривающие «чужаков», и остатки умерших клеток.
Норма моноцитов в крови у женщин варьируется в зависимости от возраста и общего состояния здоровья. Обычно уровень моноцитов составляет от 2% до 8% от общего числа лейкоцитов. С возрастом этот показатель может изменяться, что связано с различными физиологическими и гормональными изменениями в организме. Молодые женщины, как правило, имеют более стабильные значения, тогда как у женщин в период менопаузы наблюдаются колебания, связанные с изменениями в иммунной системе. Важно помнить, что отклонения от нормы могут указывать на наличие воспалительных процессов или инфекций. Поэтому регулярные анализы крови и консультации с врачом помогут контролировать уровень моноцитов и поддерживать здоровье.

Норма моноцитов в крови у женщин варьируется в зависимости от возраста и общего состояния здоровья. Обычно их уровень составляет от 2% до 8% от общего числа лейкоцитов. С возрастом этот показатель может изменяться: у молодых женщин он может быть немного выше, в то время как у пожилых — ниже. Многие специалисты отмечают, что повышенные моноциты могут указывать на наличие воспалительных процессов или инфекций, тогда как их снижение может свидетельствовать о проблемах с иммунной системой. Женщины часто обсуждают результаты анализов, обращая внимание на то, что даже небольшие отклонения от нормы могут вызывать беспокойство. Важно помнить, что интерпретация результатов должна проводиться врачом, который учитывает индивидуальные особенности и историю болезни. Регулярные обследования и внимание к своему здоровью помогут поддерживать уровень моноцитов в пределах нормы.
Функции
Моноциты, очищают кровеносную систему от патогенов и повышают иммунитет. Эти клетки обладают высоким противопаразитарным, противовирусным, антибактериальным, противогрибковым и противоопухолевым эффектом.
Больше всего моноцитов сосредоточено в лимфоузлах, печени, селезенке, легких. Они очень подвижны и могут быстро перемещаться. Как только в организме появляется проблема, туда немедленно отправляются моноцитарных клеток.
Функции моноцитов:
- Моноциты препятствуют развитию патогенных процессов – воспалений и инфицирования, на самой начальной стадии. Эти клетки – авангард иммунной системы, они первые бросаются на «чужаков». Моноциты не дают проникнуть в кровь вирусам и бактериям через открытые раны. Этот процесс называют фагоцитозом. Нейтрализовав патогены, клетки-защитники расщепляют и переваривают их, подкрепив таким способом свои силы, и восполнив энергозатраты.
- Запускают иммунный ответ. От скорости реакции моноцитов зависит, насколько быстро общий иммунитет даст отпор инфекции – вирусам, бактериям, грибкам.
- Уничтожают клетки-«мутанты». Переродившиеся и мутированные клетки – это настоящие биологические агенты. Они очень опасны для организма и создают благоприятную среду для образования разного рода опухолей. Моноцитарные клетки, связав мутирующие клетки, уничтожают их до того, как они успеют проявить активность.
- Очищают ткани от патогенов и частиц клеток. Из-за механических травм, острых воспалений и прочих повреждений тканей, возникает много полуразрушенных клеток. Моноциты удаляют их обломки и убивают патогенные бактерии.
- Накапливают информацию о патогенах, проникающих в кровь и ткани. Клетки-защитники, обезвредив патогены, «запоминают» их, и при следующей атаке уже знают, как бороться с конкретным штаммом.
- Синтезируют цитокины – информационные молекулы пептидного типа, участвующие в иммунном ответе на воспаления.
Как сдают анализ
Анализ крови на моноциты проводится в ходе ОАК. Врач, отправляя пациентку в лабораторию, отмечает, что нужна лейкоцитарная формула. Кровь отбирают из пальца. Но, в принципе, если женщина сдает кровь из вены для других анализов, то из общего забора можно взять несколько капель крови для подсчета MON.
Когда и как сдавать кровь:
- утром;
- на голодный желудок;
- сохраняя спокойное состояние;
- за несколько часов до забора крови – не подвергать себя физическим нагрузкам и не курить.
У любого здорового человека MON немного повышаются в первые 2 часа после еды. Раньше считалось, что это повышение незначительное, не влияющее на результаты анализов. Сегодня применяют сверхчувствительные аппараты, автоматически расшифровывающие результаты. Они чувствительны к самым незначительным изменениям состава клеток, поэтому ОАК врачи рекомендуют сдавать только натощак.
Если не соблюдать правила сдачи крови, можно получить недостоверные результаты. Врач, введенный в заблуждение, может пропустить серьезные патологии. Внимание!Если врач не сделает пометку в направлении о лейкоцитарной формуле, лаборант укажет в анализе общее количество лейкоцитов.
Показания к анализу:
- повышенная температура тела;
- аритмия и тахикардия;
- одышка;
- частые беспричинные расстройства кишечника;
- ускоренная утомляемость;
- кожные проблемы;
- хронические заболевания органов дыхания;
- аллергические реакции.

Норма MON у женщин
Уровень моноцитов рассчитывают в % от общего числа лейкоцитов. Нормы моноцитов в крови у женщин и мужчин одинаковые. Нормальные значения MON лежат в довольно широком диапазоне –3-11%. Моноциты также измеряют в абсолютных единицах. Количественная норма MON – 0,09-0,7 (Г/л).
MON меняется от рождения и до 16 лет. Затем нормы для взрослых людей – женщин и мужчин, остаются одинаковыми и постоянными. Таблица с нормой моноцитов у женщин (детей) по возрасту:
| Возраст | MON, % |
| первые 2 недели | 3-12 |
| до 0,5 месяца | 5-12 |
| до года | 4-10 |
| 1-2 года | 3-10 |
| 2-3 лет | 3-9 |
| 3-7 лет | 3-9 |
| 7-10 лет | 3-9 |
| 10-16 лет | 3-9 |
| от 16 лет | 3-11 |
Если лейкоциты низкие или высокие, необходимо обязательно выяснить причину отклонения, не дожидаясь осложнений и проявлений симптоматики патологии. Повышение и понижение не может диагностировать то или иное заболевание, оно только указывает на наличие проблемы, которую только предстоит выявить.
Почему увеличивается уровень моноцитов
Патологическое явление, при котором моноциты превышают допустимую возрастную норму, называют моноцитозом. Оно наблюдается у женщин, болеющих инфекционными, аутоиммунными и прочими опасными заболеваниями. Довольно часто повышение MON бывает у пациенток, перенесших тяжелую болезнь.
Различают два вида моноцитоза:
- Абсолютный. Рост носит изолированный характер. Содержание MON – более 0,8*10Г/л. Такое явление характерно для болезней, которые провоцируют усиленное образование фагоцитов.
- Относительный. Абсолютное число MON не выходит за пределы нормы, но в крови их %-ное число растет. Подобное явление наблюдается, когда одновременно падает уровень других 4-х видов лейкоцитов (нейтрофильных, лимфоцитарных, эозинофильных, базофильных).
Считается, что абсолютный моноцитоз более опасен, так как именно он сигнализирует об опасных проблемах в организме. Если повысился MON, значит, в организме запущена иммунная защита, направленная на борьбу с патогенами.
Все причины повышенного уровня MON делят на физиологические и патологические. К первым относятся состояния, связанные с физиологией женщины – беременность и менструация. К патологическим причинам относятся заболевания разной природы.
Менструация
У женщин фиксируется повышение MON в первые дни менструального цикла. На этом этапе активно отторгается эндометрий, на что активно отзываются главные «санитары» организма – моноциты и макрофаги. Им нужно навести порядок в женском организме, с чем они успешно справляются.
Максимум моноцитов приходится на дни, когда выделения становятся максимально обильными. Когда кровотечение заканчивается, содержание фагоцитов нормализуется. Внимание!Хоть уровень MON во время менструаций не покидает предельный диапазон, врачи не советуют сдавать анализ до прекращения выделений.
Беременность
У беременных перестраивается организм, поэтому необходимо постоянно контролировать состав крови. Организм женщины готовится к тому, что ему придется давать «строительный материал» и питание развивающемуся плоду.
В итоге уже в первый триместр беременности содержание MON падает. Нижний предел вместо 3% составляет 1%. Со временем положение меняется – количество моноцитарных клеток увеличивается. Максимум наступает с приходом третьего триместра.
Паразиты
Повышение активности фагоцитов бывает при глистных инвазиях. Если в организме поселились острицы, аскариды или какие-то другие гельминты, моноциты повышаются.
Догадаться о наличии паразитов помогут характерные симптомы:
- неравномерный стул – обычно он срывается на диарею;
- повышение аппетита и снижение веса;
- боль в животе;
- высыпания, похожие на крапивницу.
При заражении паразитами, наряду с MON, в крови регистрируют рост еще одного вида лейкоцитов – эозинофилов. Эти клетки отвечают за аллергические реакции.
Туберкулез
Эта тяжелая инфекция поражает не только легкие, пострадать может костная система, кожа и органы мочеполовой системы. При туберкулезе наблюдается длительная лихорадка, вялость, быстрая утомляемость, снижается вес.
При туберкулезе легких наблюдается постоянный, непроходящий кашель. Выявить его помогает флюорография. Чтобы диагностировать другие виды туберкулеза, необходимо пройти другие специальные исследования.
В ОАК крови, у больных туберкулезом, отклонение касается не только MON, но и других показателей. Моноциты растут, а другие показатели падают.
Острые инфекции
Любое инфекционное заболевание приводит к росту моноцитов. При острых респираторно-вирусных инфекциях MON в ОАК немного превышает допустимое значение.
При бактериальных атаках возрастет количество нейтрофильных лейкоцитов, а при вирусных растет содержание моноцитов. Таким образом, по ОАК сразу можно увидеть природу заболевания.
Особенности повышения MON при инфекционных болезнях:
- концентрация возрастает с первых дней вирусного заболевания и остается высокой до полного излечения;
- даже когда симптомы стихают, уровень моноцитов остается еще 2 недели выше нормы;
- если по прошествии 1,5-2 месяцев моноцитарный анализ не приходит в норму, значит, в организме имеется хроническая инфекция.
При обычных простудах, которые врачи называют острыми респираторными инфекциями, повышение небольшое. Оно обычно едва выходит за верхнюю границу нормы, и составляет 0,09-1,5*10Г/л.
Скачок MON также может наблюдаться при кори, краснухе, коклюше. От так называемых «детских» болезней сегодня не застрахованы и взрослые.
Инфекционный мононуклеоз
Эту болезнь вызывает герпесоподобный вирус. Обычно ее переносят в детстве. Те, кому «не повезло» переболеть ею, могут подхватить ее позднее. Правда, бывает это очень редко, так как иммунитет взрослых более устойчив к этому вирусу. В ОАК оказываются повышенными не только моноциты, но и лимфоциты.
Аутоиммунные проблемы
Это состояния, при которых иммунитет начинает воспринимать свои ткани как чужеродные, уничтожая их. Моноциты и макрофаги немедленно бросаются в бой, чтобы уничтожить «чужаков». Низкий показатель регистрируется у пациенток, болеющих ревматоидным артритом, сахарным диабетом, системной красной волчанкой.
Повышенные моноциты при аутоиммунных заболеваниях – основной клинический признак. Обнаружив моноцитоз, немедленно проводят исследования, в ходе которых могут быть выявлены вышеуказанные патологии.
Онкогематология
Высокий MON всегда настораживает, так как он может сигнализировать о раке крови. Эти состояния требуют серьезного системного лечения, а главное, они не всегда излечиваются. Если после ОАК не найдена инфекция, пациентку должен осмотреть онкогематолог. Моноцитоз, в частности, наблюдается при лейкозе и миеломной болезни. На заметку!При онкогематлогических патологиях MON существенно превышает норму. Он достигает 30-50*10Г/л и даже выше.
Хронические инфекционно-воспалительные патологии
Любые скрытые и вялотекущие инфекции, которые не имеют ярких симптомов, можно заподозрить по высокому уровню MON. Объектом воспаления может быть любой орган – сердечная мышца, горло, костная ткань, почки и другие внутренние органы.
Если к периодическим болям в одном и том же месте присовокупить неблагоприятный анализ, можно заподозрить воспаление хронического характера.
Отравление
Рост моноцитарных лейкоцитов вследствие отравлений встречается редко. Причина моноцитоза – воздействие химических веществ на органы дыхания и пищеварения.
Моницитоз может вызвать:
- Тетрахлорэтан. Пары вещества, проникая через кожу или рот, вызывают отравление. Раздражаются слизистые, появляется желтуха, головная боль. Если не принять мер, поражается печень, наступает кома.
- Фосфор. Пары или пыль, проникая в организм, вызывают боли в животе и расстройства стула. Отсутствие адекватного лечения приводит к поражению внутренних органов.
Почему понижаются моноциты
Моноциты ниже нормы у женщин встречаются гораздо реже. Это состояние называется моноцитопенией.
Снижение MON может наблюдаться:
- в первом триместре беременности – отклонение со временем нормализуется и не требует вмешательства;
- при соответствующей наследственности;
- при инфекционных болезнях, сопровождающихся снижением нейтрофильных клеток в крови;
- после употребления некоторых лекарственных препаратов;
- после трансплантации органов;
- длительный стресс или шок;
- снижение иммунитета из-за большого снижения массы тела.
Лейкоз
Самое опасное проявление моноцитопении – отсутствие моноцитов. В такой ситуации можно говорить о тяжелом лейкозе, при котором костный мозг перестает выполнять одну из своих важнейших функций – выработку моноцитарных клеток. Это значит, что иммунитет равен нулю, так как лишился своей авангардной защиты.
На поздних стадиях лейкоза угнетается кроветворение, снижается иммунитет, развиваются тяжелые инфекционные заболевания, появляются без всякой причины кровотечения. Лучшее решение проблемы – пересадка костного мозга.
Сепсис
При сепсисе такой низкий MON, что клетки неспособны выполнять свою защитную функцию. Кровь не очищается от чужеродных элементов, более того, сами моноцитарные клетки погибают, пораженные инфекцией.
Апластическая анемия
В отличие от железодефицитной анемии, с апластической разновидностью всё гораздо сложнее. Приходится принимать срочные меры, чтобы справиться с тяжелым расстройством кроветворения. Если не лечить патологию, смерть наступает в считаные месяцы.
При апластической анемии в организме резко тормозится рост и созревание всех видов кровяных клеток, вырабатываемых костным мозгом.
Признаки апластической анемии:
- слабость;
- тахикардия;
- кровотечения;
- пониженный иммунитет;
- бледная кожа.
Больным пописывают гормоны и цитостатики. Часто приходится прибегать к пересадке костного мозга.
Гнойные инфекции
При таких заболеваниях в воспаленные ткани внедряются гноеродные бактерии. Чаще всего, диагностируются стафилококк и стрептококк. Самые распространенные гнойные заболевания:
- фурункулез;
- пневмония;
- остеомиелит.
Одни инфекции разрушаются самостоятельно, с другими приходится бороться с помощью специальной терапии. Наряду с моноцитопенией фиксируют рост нейтрофильных клеток – эти лейкоциты отвечают за оперативную защиту гнойных очагов.
Лекарственные препараты
Есть препараты, угнетающие функционирование костного мозга. Это кортикостероиды и цитостатики. Результат воздействия – падение содержания всех кровяных клеток. Такое состояние называется панцитопенией. Если своевременно начать лечение и отменить прием препаратов, работу костного мозга удается восстановить. Внимание!Чтобы сохранить здоровье, женщины должны сдавать анализ на лейкоцитарную формулу каждый год.
Как лечить
Независимо от того, в какую сторону отклонение моноцитарных клеток, порядок действий одинаков. Сначала пациентку отправляют на обследование, чтобы выяснить причину патологии.
Следующий шаг – медикаментозное лечение обнаруженного заболевания. Инфекции и воспаления довольно быстро излечиваются с помощью антибиотиков и прочих лекарственных препаратов. Труднее с онкологией – приходится проводить длительное лечение, включающее химиотерапию, а зачастую и оперативное вмешательство.
Самолечение как при моноцитозе, так и при моноцитопении, малоэффективно. Заболевания, которые вызвали, слишком серьезны, чтобы ограничиваться народными методами.
Моноцитоз
При обнаружении повышенного уровня моноцитов в крови, пациентку направляют на консультацию к терапевту и узким специалистам. Чтобы начать лечение патологии, необходимо выяснить, что стало ее причиной.
Дополнительную диагностику, которая поможет выяснить причину моноцитоза:
- Анализы крови. Определяют СОЭ, атипичные мононуклеары, уровень аутоантител и т.д.
- Рентген. Позволяет выявить туберкулез и саркоидоз.
- Микробиологическое исследование. Делают бакпосев, чтобы идентифицироать возбудителя.
- Гистология. Берут мазок костного мозга, в котором ищут признаки различных заболеваний.
- Сонография. Выявляет инфекционные мононуклеоз, бруцеллез, онконематологические состояния.
Никаких прямых способов приведения MON в норму не существует. Необходимо лечить причину их повышения. Способ лечения зависит от выявленного заболевания.
Если женщина перенесла недавно инфекционную болезнь, то лечение не применяют. Моноциты придут в норму самостоятельно.
Лечение моноцитоза:
- Борьба с инфекцией. Большая часть вирусных заболеваний лечится постельным режимом, обильным питьем и употреблением противовоспалительных нестероидных препаратов. Также применяют симптоматическую терапию, например, полощут горло, закапывают капли в нос и т. п. Если причина отклонения – бактериальная инфекция, назначают антибиотики или противотуберкулезные препараты.
- Борьба с воспалением. Применяют глюкокортикостероиды – это препараты, с помощью которых удается эффективно подавить воспаление.
- Химиотерапия. Ее применяют при обнаружении онкологических проблем.
- Хирургические операции. К ним приходится прибегать при наличии онкогематологии и нейтропении. Врачи прибегают, в частности, к пересадке донорских стволовых клеток.
Прогнозов для моноцитоза не делают. Результат зависит только от лечения основного заболевания. Наиболее неблагоприятные прогнозы распространяются на запущенные онкогематологические заболевания.
Рекомендуется придерживаться правил питания:
- Уменьшить норму сахара. А можно и вовсе отказаться от него. Исключение рафинированного сахара из рациона позволяет уменьшить риск ожирения, диабета, сердечно-сосудистых заболеваний.
- Отказаться от алкогольных напитков. Напитки на спиртовой основе стимулируют воспалительные процессы.
- Есть больше рыбы. Рыбий жир и Омега-3, содержащаяся в жирной рыбе – лососи, скумбрии, обладают противовоспалительными свойствами, предотвращают атеросклероз и болезни сердца.
- Диета. Пациенткам с отклонениями моноцитов рекомендуется средиземноморская диета. В ее составе – оливковое масло, цельные зерна, фрукты, овощи, семена и орехи. Все эти продукты обладают противовоспалительным эффектом против реакций, связанных с отклонениями MON.
На заметку!Наряду с медикаментозными методами лечения, при моноцитозе рекомендуется побольше гулять, обливаться холодной водой, обтираться мокрым полотенцем и принимать витаминно-минеральные комплексы.
Моноцитопения
Саму по себе моноцитопению не лечат. Борьбу ведут с заболеванием, которое ее вызвало. Терапия сводится не к нормализации показателей ОАК, а к целенаправленной борьбе с причиной снижения MON.
Терапия моноцитопении может включать прием:
- антибиотиков;
- противовирусных препаратов;
- витаминно-минеральных комплексов;
- гормональных средств.
Онкология требует применения лучевой терапии, химиотерапии и хирургических вмешательств.
Если отклонение незначительное, вызванное физиологией, рекомендуется:
- сбалансировать питание;
- соблюдать питьевой режим;
- исключить стрессы и нервные напряжения;
- не перенапрягаться физически;
- труд чередовать с отдыхом;
- нормализовать сон.
Если в организме нет серьезных проблем, то вышеперечисленных мероприятий бывает достаточно, чтобы нормализовать картину крови.
Осложнения и профилактика
При высоком и низком уровне моноцитарных клеток могут возникать осложнения, специфика которых зависит от заболевания, вызвавшее отклонение.
Возможные осложнения:
- критическое падение иммунитета;
- анемия;
- нарушение работы костного мозга;
- прогрессирование туберкулеза;
- летальный исход из-за онкологических заболеваний.
Профилактика отклонений моноцитов сводится к регулярной сдаче общего анализа крови. Достаточно сдавать его раз в год, чтобы предотвратить осложнения. Также рекомендуется вести здоровый образ жизни, правильно питаться и избегать стрессов.
Концентрация белых кровяных клеток – яркий маркер состояния женского здоровья. Большинство заболеваний, сопровождающихся отклонением уровня моноцитов, поддаются лечению. Чем раньше будет выявлена причина патологии, тем больше шансов на успешное излечение болезни, которая ее вызвала.
Вопрос-ответ
Какова нормальная концентрация моноцитов в крови у женщин разных возрастных групп?
Нормальная концентрация моноцитов в крови у женщин составляет от 2% до 8% от общего числа лейкоцитов. Однако, в зависимости от возраста, эти значения могут варьироваться. Например, у молодых женщин (до 30 лет) уровень моноцитов может быть ближе к нижней границе нормы, тогда как у женщин старшего возраста (после 50 лет) он может увеличиваться.
Что может означать повышенный уровень моноцитов у женщин?
Повышенный уровень моноцитов, или моноцитоз, может указывать на наличие воспалительных процессов, инфекций, а также на некоторые хронические заболевания. Важно провести дополнительные исследования и консультацию с врачом для определения причины повышения.
Как можно снизить уровень моноцитов в крови?
Снижение уровня моноцитов зависит от причины их повышения. В большинстве случаев необходимо лечить основное заболевание или инфекцию, что может привести к нормализации уровня моноцитов. Также важно поддерживать здоровый образ жизни, включая правильное питание и регулярные физические нагрузки.
Советы
СОВЕТ №1
Регулярно проходите медицинские обследования, включая анализы крови, чтобы отслеживать уровень моноцитов и другие показатели. Это поможет выявить возможные отклонения на ранних стадиях и своевременно обратиться к врачу.
СОВЕТ №2
Обратите внимание на свое питание. Включение в рацион продуктов, богатых витаминами и минералами, таких как фрукты, овощи, орехи и рыба, может поддерживать нормальный уровень моноцитов и общее состояние здоровья.
СОВЕТ №3
Управляйте уровнем стресса с помощью методов релаксации, таких как йога, медитация или прогулки на свежем воздухе. Хронический стресс может негативно влиять на иммунную систему и уровень моноцитов в крови.
СОВЕТ №4
Если у вас есть хронические заболевания, такие как диабет или заболевания щитовидной железы, следите за их контролем. Эти состояния могут влиять на уровень моноцитов, поэтому важно поддерживать их в стабильном состоянии.



