
Причины
Мозг человека окружен жидкостью, основной функцией которой считается защита от повреждений. При сильных черепно-мозговых травмах этой защиты недостаточно, мозг травмируется о стенки костей. В результате человек получает ушиб головного мозга и гематому. Главная причина кровоизлияний – разрыв сосудов. Гематомы в голове могут образоваться в любом возрасте, даже у новорожденных. Кроме травм, причинами являются:
- гипертоническая болезнь;
- злокачественные и доброкачественные опухоли;
- болезни сосудистой системы, в том числе аллергического и инфекционно-аллергического происхождения (ревматизм, периартериит, системная красная волчанка);
- нарушения в свертывающей системе крови;
- длительный прием антикоагулянтных препаратов;
- аномальное строение сосудов;
- инфекционные заболевания головного мозга.
Кроме основных причин, провоцирующих формирование гематомы, выделяют группы людей с высоким риском ее развития. Это лица, страдающие алкоголизмом, граждане пожилого возраста, пациенты, имеющие старческую деменцию и перенесшие инсульт. У них всех – хрупкие, истонченные сосуды, которые могут стать причиной кровоизлияний.
Врачи отмечают, что гематома головного мозга может возникать в результате травм, таких как удары или падения, а также из-за заболеваний, например, гипертонии или сосудистых аномалий. При этом важно учитывать, что даже небольшие травмы могут привести к серьезным последствиям, если у пациента есть предрасположенность к образованию гематом. Лечение зависит от размера и локализации гематомы: в некоторых случаях достаточно наблюдения и консервативной терапии, в то время как в других может потребоваться хирургическое вмешательство для удаления скопившейся крови. Врачи подчеркивают важность своевременной диагностики и обращения за медицинской помощью, так как запущенные случаи могут привести к необратимым последствиям для здоровья. Регулярные обследования и контроль состояния сосудов также могут снизить риск возникновения гематом.

Врачи отмечают, что гематома головного мозга может возникать по различным причинам, включая травмы головы, инсульты и нарушения свертываемости крови. Чаще всего она образуется в результате черепно-мозговой травмы, когда сосуды повреждаются, и кровь начинает скапливаться в мозговых оболочках или внутри самого мозга. Симптомы могут варьироваться от головной боли и тошноты до потери сознания и неврологических нарушений, что требует немедленного медицинского вмешательства.
Лечение гематомы зависит от её размера и локализации. В некоторых случаях достаточно наблюдения и консервативной терапии, однако при значительных образованиях может потребоваться хирургическое вмешательство для удаления гематомы и предотвращения дальнейших осложнений. Врачи подчеркивают важность ранней диагностики и своевременного лечения, так как это существенно влияет на прогноз и восстановление пациента.
Классификация, виды

- острые – клинические симптомы возникают в первые 2-3 суток (до момента формирования капсулы);
- подострые – симптомы появляются в период образования капсулы, от 4 до 15 дней;
- хронические – симптоматика начинает проявляться через 2-3 недели и более (количество дней зависит от причины кровоизлияния).
При черепно-мозговых травмах формирование гематомы может происходить не только в области удара, но и на противоположной стороне. Гематомы классифицируют в зависимости от их локализации:
- Эпидуральные – формируются между костями черепа и твердой мозговой оболочкой. Распространению кровоизлияния препятствуют костные швы (венечный, сагиттальный, ламбдовидный), к которым прикреплена оболочка мозга. По этой причине гематома не может перейти из одной области в другую. Двояковыпуклая форм.
- Субдуральные – процесс происходит между паутинной и твердой оболочками мозга. Гематома не ограничена в распространении, может находиться над 2-3 долями полушарий. Серповидная форма.
- Внутримозговые – скопление крови в тканях мозга (пропитывание участка). Круглая форма.
- Внутрижелудочковые – появляются при травмах сосудов в желудочках мозга, затекании крови из поврежденных участков.
Кровоизлияние может быть комбинированным, то есть сразу появляться в разных участках головного мозга. Например, средняя левосторонняя эпидуральная и малая правосторонняя субдуральная гематома. Важно!Эпидуральные гематомы не могут образоваться на основании мозга вследствие того, что кости черепа плотно сращены с твердой оболочкой мозга.
Симптомы
В симптоматике используют термин – светлый промежуток. Это время от момента кровоизлияния до появления симптомов. В клинической картине важную роль имеют объем жидкости, скорость развития процесса, причинный фактор. Признаками гематомы в голове могут быть:
- изменение размера зрачка;
- нарушение координации движений;
- спутанность сознания;
- тошнота, рвота;
- паралич;
- нарушение связанной речи;
- головные боли и головокружение;
- вялость, апатия.
В зависимости от вида гематомы симптомы могут различаться.
Гематома головного мозга — это скопление крови в черепной коробке, которое может возникнуть в результате травмы, инсульта или нарушения сосудистой проницаемости. Люди часто обсуждают причины ее образования, отмечая, что наиболее распространенными факторами являются падения, автомобильные аварии и спортивные травмы. Симптомы могут варьироваться от головной боли и головокружения до потери сознания и неврологических нарушений. Лечение гематомы зависит от ее размера и расположения: в некоторых случаях достаточно наблюдения, в других — требуется хирургическое вмешательство для удаления скопившейся крови. Важно своевременно обратиться к врачу при первых признаках, чтобы избежать серьезных последствий.

Гематома головного мозга — это серьезное состояние, которое вызывает много обсуждений среди пациентов и медицинских работников. Основными причинами ее образования являются травмы головы, инсульты и нарушения сосудистой системы. Люди часто делятся своими историями о том, как травмы, полученные в результате падений или аварий, стали причиной появления гематомы. Симптомы могут варьироваться от головной боли и головокружения до потери сознания, что делает диагностику критически важной. Лечение зависит от размера и расположения гематомы: в некоторых случаях достаточно наблюдения, в других — требуется хирургическое вмешательство. Многие отмечают, что своевременная медицинская помощь и реабилитация играют ключевую роль в восстановлении. Обсуждения на форумах показывают, что пациенты ищут не только информацию о лечении, но и поддержку, делясь своими переживаниями и опытом.
Эпидуральные
Чаще бывают острыми, хронические встречаются у пожилых людей с атрофическими процессами мозга. Признаки эпидуральных кровоизлияний:
- на стороне патологии – расширение зрачка, птоз (опущение) века;
- на противоположной стороне усиливаются рефлексы сухожилий, положительный симптом Бабинского, мышечная слабость;
- светлый промежуток сопровождается головной болью, слабостью, головокружением;
- повышение внутричерепного давления;
- психомоторное возбуждение, сменяющееся угнетением сознания.
При кровоизлияниях из артериальных сосудов гематома имеет большие размеры и выраженные симптомы. При венозных повреждениях сгусток крови формируется медленно, симптомы развиваются постепенно. Из-за смещения структур мозга и высокого давления происходит нарушение кровообращения и дыхания, что может привести к развитию комы, летальному исходу. Время протекания этих процессов может быть от 3 часов до нескольких дней.
Субдуральные
Могут располагаться над полушариями головного мозга, при кровоизлияниях небольшого объема, смещение структур не происходит. Гематома должна иметь большой объем жидкости, чтобы сдавливать головной мозг. Как правило, формируются 2 гематомы – на стороне травмы и с противоположной. Острые формы не имеют светлого промежутка. При травме появляется рвота, увеличиваются оба зрачка, сбивается ритм дыхания, возникает аритмия, нарушается речь.
При подострой форме светлый промежуток длится 10 дней и более. После ухудшается состояние, появляются симптомы:
- слабость с противоположной стороны от поврежденного полушария;
- разный размер зрачков (больший размер на стороне кровоизлияния);
- повышение артериального давления, затем его снижение;
- спутанность речи;
- неукротимая рвота;
- замедление пульса.
При хронической гематоме имеется длительный светлый промежуток (до нескольких месяцев). Человек предъявляет жалобы на постоянную, но не сильно выраженную головную боль, слабость. Далее появляется аритмия, нарушается ритм дыхания. Важно!

Внутримозговые
Чаще образуются в области лба и виска. При внутримозговых гематомах развиваются очаговые и общемозговые признаки. Они появляются почти сразу после воздействия повреждающего фактора. Это связано с быстрым пропитыванием структур головного мозга и нервной ткани кровью. Симптомы гематомы в головном мозге:
- уменьшается чувствительность на отдельных участках кожи;
- лицо становится перекошенным на одну сторону;
- наблюдается расстройство психики;
- человек не может отвечать на вопросы, воспринимать речь;
- нарушается координация движений.
Даже малые размеры образовавшегося сгустка способны сдавливать структуры головного мозга. Учеными выделена специальная классификация для внутримозговых гематом – по объему образовавшейся крови:
- малая – количество крови до 20 мл;
- средняя – объем до 50 мл;
- большая – свыше 50 мл.
При смещении структур и повышении внутричерепного давления происходит сдвиг мозжечка в большое затылочное отверстие с вытеснением продолговатого мозга. При развитии таких процессов наблюдаются неконтролируемые движения глазных яблок, косоглазие, затрудненное глотание. В итоге нарушаются дыхательный ритм, работа сердечно-сосудистой системы.
Внутрижелудочковая
Состояние пациента резко ухудшается, если кровь попадает в желудочки мозга. Отмечается повышение температуры тела до 38-40 градусов. Человек резко теряет сознание и может впасть в кому. Важно!Внутрижелудочковые гематомы вызывают судорожные сокращения мышечной ткани, что может привести к летальному исходу.
Гематомы у детей
У новорожденных гематомы могут появиться вследствие гипоксии, травмы во время родов, заболеваний крови с нарушением свертывающей системы, падения (при невнимательности родителей). У детей среднего возраста основная причина – падения, ушибы из-за высокой степени активности, отсутствия чувства опасности. Симптомы у ребенка такие же, как у взрослых. Если грудной малыш получил травму, родители должны обратить внимание на следующее:
- беспокойство во время сна;
- частые срыгивания после кормления;
- изменение тональности плача;
- отсутствие аппетита;
- побледнение кожи;
- изменения в области родничка;
- двигательные расстройства.
При своевременной помощи ребенку прогноз благоприятный. Восстановительные и компенсаторные механизмы детского организма выше, чем у взрослых. Но, несмотря на это, есть риск возникновения осложнений – развитие эпилепсии, ДЦП, гиперактивности. У детей после кровоизлияний может наблюдаться отставание в физическом и умственном развитии. Лечение гематомы мозга происходит по тем же правилам, как и у взрослых.
Диагностика
Для постановки диагноза нужно учитывать жалобы пациента, причины, после которых возникли гематомы. В некоторых случаях постановка диагноза не вызывает трудностей, если после травмы сразу появились яркие симптомы. В этом случае при осмотре врач обнаружит синяк и припухлость тканей. Важным критерием являются данные о светлом промежутке. Диагноз обязательно подтверждают инструментальными методами:
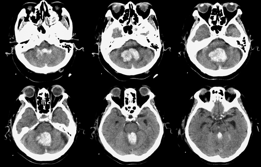
- Компьютерная томография – определяет изменения плотности участков головного мозга, объем и форму гематомы.
- МРТ головного мозга – позволяет получить изображение структуры мозга.
- Церебральная ангиография – отображает смещение сосудов при наличии сгустка крови.
- Рентгенография – дает сведения о повреждениях костей черепа.
Дополнительно может потребоваться эхоэнцефалография, которая помогает определить нарушения в проведении нервного импульса.
Лечение
После постановки диагноза, выяснения степени тяжести и локализации скопления крови назначают консервативное и хирургическое лечение.
Консервативная терапия
При незначительных гематомах при отсутствии смещения и сдавления головного мозга рекомендуется постельный режим и прием медикаментов:
- мочегонные препараты – для снятия отека головного мозга и выведения жидкости;
- антикоагулянты и вазодилататоры;
- гемостатические средства – для остановки кровотечения из сосудов;
- нейротропные препараты – для улучшения работы клеток мозга, усиления регенеративных способностей, получения седативного эффекта;
- противорвотные средства;
- блокаторы кальциевых каналов – для уменьшения спазмов кровеносных сосудов;
- обезболивающие средства.
При консервативном лечении состояние больного улучшается, образования малых размеров рассасываются в течение 1-2 месяцев.
Хирургическое лечение
Операции проводят при гематомах средних и больших размеров, вызывающих смещение, сдавление головного мозга. Целью оперативного вмешательства являются удаление сгустка крови, нормализация внутричерепного давления. Виды вмешательств:
- Формирование фрезевого отверстия (эндоскопическая операция). Используется при гематомах легкой формы при ее нахождении в одном участке с несвернутой жидкостью. Через образованное отверстие кровь отсасывают специальным прибором.
- Трепанация черепа. Необходима при обширных кровоизлияниях со значительным сдавлением тканей. Выделяют 2 ее вида: костно-пластическая (участок кости остается соединенным с тканями, после операции его возвращают на место) и резекционня, при которой часть костной ткани полностью удаляется. В этом случае после операции необходима пластика дефекта.
При трепанации черепа после вскрытия костей производят удаление гематомы, ревизию тканей, коагуляцию кровоточащих сосудов. При оперативном лечении эпидуральных гематом не происходит травмирование твердой мозговой оболочки.
Последствия и осложнения
Развитие осложнений зависит от локализации гематомы, степени тяжести процесса. После тяжелых повреждений клеток головного мозга, длительного сдавления возможно появление:
- проблем с мочевыделительной системой в виде недержания мочи;
- неврозов;
- онемения конечностей;
- депрессивных состояний;
- метеочувствительности;
- нарушений умственной деятельности;
- потери памяти;
- проблем со сном (бессонница, или, наоборот, постоянная сонливость);
- судорог.
После тяжелых обширных гематом с размозжением участков нервной ткани могут появиться психические расстройства, ведущие к неадекватному поведению, приступам агрессии. Последствиями операций могут стать воспалительные процессы в послеоперационной ране. Важно!После лечения возможен рецидив (повторное появление) сгустка, при котором необходима вторая операция.
Реабилитационный период
Период восстановления необходим для стабилизации работы клеток головного мозга. Его длительность составляет от 3 недель до полутора лет. У взрослых это время длительней, чем у детей, и связано с тем, что в детском возрасте регенеративные и восстановительные процессы происходят гораздо быстрее. Чтобы организм восстановился, человеку необходим здоровый сон, не меньше 8 часов в сутки, а при сильной слабости – и в дневное время. Во время сна клетки восстанавливаются быстрее.
Важно проходить курс медикаментозной терапии, назначенной врачом. Она включает прием антибактериальных препаратов и средств, влияющих на обменные процессы в головном мозге. Не рекомендуется на период реабилитации управлять транспортными средствами и заниматься спортом, особенно тяжелыми видами. Желательно отказаться от деятельности, которая может привести к травмам и ушибам.
Прогноз
Благоприятный прогноз с полным восстановлением наблюдается у пациентов с малыми и средними гематомами. В целом он зависит от:
- причины появления гематомы;
- размера и количества сгустков;
- локализации процесса;
- возраста пациента;
- сопутствующих заболеваний.
Один из главных факторов в прогнозе – сроки оказания медицинской помощи. Острые формы без хирургической помощи в 50% случаев приводят к тяжелым осложнениям и летальному исходу. После крупных кровоизлияний могут развиться неврологические нарушения, приводящие к инвалидности. Важно!
Последствия гематом, оканчивающиеся инвалидностью, – это эпилепсические припадки, парезы, параличи.
Гематома головного мозга – очень опасное и тяжелое состояние для человека. Профилактических мер к предотвращению ее появления, к сожалению, нет. Нужно избегать экстремальных ситуаций, где можно получить травму, контролировать артериальное давление и проходить ежегодный медосмотр. Даже при незначительном ушибе головы и отсутствии сильных болевых ощущений необходима консультация врача. Симптомы могут проявиться спустя несколько месяцев, а изменения в клетках начнут происходить с момента получения травмы.
Вопрос-ответ
От чего образуется гематома в голове?
Обычно это результат травмы головы. Наблюдается при ударе по голове, но также происходит спонтанно из-за высокого кровяного давления, аневризмы или аномалий кровеносных сосудов.
От чего появляются гематомы на голове?
Это может происходить вследствие травмы головы, а также в результате различных заболеваний, таких как гипертония, аневризма сосудов мозга, коагулопатия и другие.
Можно ли вылечиться от гематомы головного мозга?
Некоторые люди могут почувствовать себя лучше в течение нескольких недель или месяцев, в то время как другие могут никогда не восстановиться полностью даже через много лет. Это будет во многом зависеть от того, насколько серьезен ущерб вашему мозгу.
От чего может быть кровоизлияние в мозг?
Причиной кровоизлияния в головной мозг чаще всего является гипертоническая болезнь (80—85 % случаев). Реже кровоизлияния обусловливаются атеросклерозом, заболеваниями крови, воспалительными изменениями мозговых сосудов, интоксикацией, авитаминозами и другими причинами.
Советы
СОВЕТ №1
При подозрении на гематому головного мозга, немедленно обратитесь к врачу. Симптомы, такие как сильная головная боль, потеря сознания или изменения в поведении, могут указывать на серьезные проблемы, требующие срочной медицинской помощи.
СОВЕТ №2
Следите за своим состоянием после травмы головы. Даже если вы не чувствуете сильной боли, важно наблюдать за любыми изменениями в самочувствии, так как гематома может развиваться постепенно.
СОВЕТ №3
Изучите методы профилактики травм головы, особенно если вы занимаетесь спортом или работаете в условиях повышенного риска. Использование защитных шлемов и соблюдение техники безопасности могут значительно снизить вероятность получения травмы.
СОВЕТ №4
Обсудите с врачом возможные варианты лечения, если у вас уже диагностирована гематома. В зависимости от ее размера и расположения, могут быть предложены различные подходы, включая наблюдение, медикаментозное лечение или хирургическое вмешательство.

