
Понятие эхокардиографии с допплером
Допплеровская эхокардиография – одна из самых информативных разновидностей процедуры ультразвукового исследования. Процедура применяется для обнаружения различных сердечных патологий. Она относительно недорогая и совершенно безопасная для организма человека, поэтому широко применяется в кардиологических исследованиях.
С помощью эхокардиографии с применением допплеровского анализа удается исследовать сердце и кровеносные сосуды. Суть исследований сводится к проникновению, распределению и отражению ультразвуковых волн от тканей разной плотности.
Сочетая классическую эхокардиографию с допплеровским анализом удается выявить патологии сердечно-сосудистой системы и определить показатели геодинамического характера:
- с какой скоростью и в каком направлении движется кровь;
- имеются ли в кровеносной системе тромбы, эмболы, а также патологии артериальных стенок (аневризма, стеноз, атеросклеротические явления).
На заметку!Эффект Доплера основан на изменение длины и частоты волн, испускаемых источником, и улавливаемых эхокардиографом. Явление названо в честь австрийского ученого Кристиана Допплера, который первым писал его в 1842 г.
Допплерэхокардиография сердца является важным инструментом в диагностике сердечно-сосудистых заболеваний. Врачи отмечают, что подготовка к исследованию включает в себя отказ от пищи за несколько часов до процедуры, что позволяет получить более точные результаты. Процедура проводится с использованием ультразвуковых волн, которые помогают визуализировать сердце и оценить его функции. Специалисты подчеркивают, что метод безопасен и безболезнен, что делает его доступным для пациентов всех возрастов. Расшифровка результатов требует высокой квалификации, так как она включает анализ движения крови через сердечные камеры и сосуды. Врачи акцентируют внимание на том, что правильная интерпретация данных позволяет выявить различные патологии, такие как пороки сердца или сердечную недостаточность, что в свою очередь способствует своевременному лечению и улучшению качества жизни пациентов.

Допплерэхокардиография сердца является важным инструментом в диагностике сердечно-сосудистых заболеваний. Врачи отмечают, что подготовка к исследованию включает в себя отказ от пищи за 2-3 часа до процедуры, что позволяет получить более точные результаты. Исследование проводится с использованием ультразвуковых волн, которые позволяют визуализировать структуру сердца и оценить кровоток. В процессе врачи могут выявить различные патологии, такие как пороки сердца или нарушения работы клапанов. Расшифровка результатов требует высокой квалификации, так как включает в себя анализ полученных данных и сопоставление их с клинической картиной пациента. В целом, допплерэхокардиография является безопасным и информативным методом, который помогает врачам в постановке точного диагноза и выборе оптимального лечения.
Виды допплера
В кардиодиагностике применяют несколько разновидностей допплера. Специалисты, выбирающие вариант эхокардиоскопии, учитывают направленность поисков.
Импульсноволновой
Импульсноволновой или спектральный (PW) – один из самых распространенных допплеровских методов. На мониторе, там, где находится курсор, появляется отметка, называемая контрольным объемом. Специалист переносит его в место, требующее изучения. На отмеченном участке им проводится оценка движения крови. Импульсноволновой вариант позволяет регистрировать скорость передвижения крови в сосуде. Ультразвук, отраженный от сосуда, улавливает аппарат, а затем отправляет его назад. Визуальный результат исследования – кривая на мониторе.
Допплерэхокардиография сердца — это неинвазивный метод исследования, который позволяет оценить работу сердца и кровообращение. Подготовка к процедуре обычно включает в себя отказ от пищи за несколько часов до исследования и комфортную одежду. Во время процедуры пациент лежит на спине, а врач наносит специальный гель на грудную клетку, чтобы улучшить контакт с датчиком. С помощью ультразвуковых волн врач получает изображения сердца и анализирует кровоток. Расшифровка результатов включает в себя оценку размеров камер сердца, состояния клапанов и скорости кровотока. Этот метод помогает выявить различные патологии, такие как пороки сердца или сердечную недостаточность, и является важным инструментом в кардиологии.

Допплерэхокардиография сердца — это современный метод диагностики, который позволяет оценить состояние сердечно-сосудистой системы. Многие пациенты отмечают, что процедура проходит безболезненно и быстро. Подготовка к исследованию обычно включает отказ от пищи за несколько часов до процедуры и комфортную одежду. Во время обследования на грудную клетку наносятся специальные гели, а затем врач с помощью ультразвукового аппарата получает изображения сердца и его сосудов. Расшифровка результатов может занять некоторое время, но врачи подчеркивают, что этот метод позволяет выявить различные патологии, такие как пороки сердца или нарушения кровообращения. Пациенты часто чувствуют облегчение, когда получают четкие рекомендации по дальнейшему лечению.
Энергетический
С помощью энергетического допплера (Power Doppler) регистрируют кровоток с малой скоростью. Этот вариант используется в кардиодиагностике довольно редко. С его помощью обычно исследуют мелкие сосуды почек, щитовидной железы, яичников и т.д.
Энергетический метод отличается более высокой чувствительностью в отношении кровотока, чем, к примеру, цветной допплер. Отображение производится в оранжевом цвете. Чем насыщеннее оттенок, тем выше скорость движения крови. Минус метода – не позволяет определить направление кровотока. В режиме 3Д можно оценить пространственную структуру движения крови в месте исследования.
Непрерывноволновой

Тканевой
Методика позволяет с помощью цветового картирования измерить скорость, с которой двигается мышечный слой сердца (миокард) и другие его структуры. Изучая, в каком направлении двигаются стенки желудочков, левого и правого, удается выявить патологий сократительной способности в исследуемом месте.
Цветовой
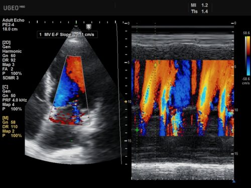
При цветовой допплерографии используется метод наложения – на двумерную картинку сердца/сосуда накладывают множество контрольных микро объемов. На экране в реальном режиме времени оказываются отображенными потоки крови, распределенные в пространстве, с указанием их скорости и направления. Каждая точка отображаемой картинки, окрашивается в определенный цвет.
Цветовой М-режим
Метод позволяет получать в М-режиме (цветовое допплеровское картирование) визуальную картинку оболочек и стенок сердца, сжатие и расслабление клапанов. Изображение дается в реальном режиме времени с цветовым кодированием движения крови. На сегодня эта методика – одна из самых популярных среди всех вариантов эхокардиографии.
Показания и противопоказания
Эхокардиография с допплерографией проводится как для выявления определенных патологий или показателей, так и для обследования людей, относящихся к группе риска по заболеваниям системы кровообращения.
Доплер-эхокардиография является обязательным исследованием при:
- периодических или постоянных болях в области грудной клетки;
- шумах в сердце, одышке, проблемах с дыханием;
- повышенной утомляемости;
- нарушениях сердечного ритма (аритмия, брадикардия, тахикардия);
- обнаружении отклонений на рентгене грудной клетки;
- обнаружении патологий на электрокардиограмме;
- отеках и похолодании рук и ног;
- цианозе носогубного треугольника;
- пороках сердца и больших сосудов;
- длительном повышении температуры;
- кашле, несвязанном с простудой;
- ишемической болезни, инфаркте миокарда, гипертонии.

- Больным, перенесшим хирургическую операцию на сердце. Чтобы контролировать состояние в период реабилитации, и не допустить осложнений, процедуру назначают несколько раз с определенными интервалами.
- Детям в первый год жизни, в том числе только родившимся. Ребенка могут направить на детскую допплерэхокардиографию, чтобы выяснить, почему он не набирает вес, или если у него нарушена сердечная деятельность.
- Людям с частыми головными болями. Если их причиной является закупоривание мелкого сосуда, расположенного вблизи сердечной мышцы, то ЭхоКГ зачастую становится единственно возможным способом диагностики патологии.
- Беременным. Надо выявить сердечные патологии, чтобы они не отразились на здоровье, как самой женщины, так и будущего ребенка.
Эхо допплерография абсолютно безопасное, не имеющее противопоказаний исследование. Его можно назначать всем группа пациентов без исключения – пожилым, беременным, новорожденным, людям с хроническими и острыми состояниями.
Подготовка к процедуре
Для проведения эходопплеркардиографии никакой особой подготовки не требуется. Есть только ряд рекомендуемых ограничений. Внимание!Если человек регулярно употребляет какие-либо медикаменты, необходимо сообщить об этом лечащему врачу. Возможно, в день проведения ЭхоКГ придется приостановить прием препаратов.
Перед процедурой рекомендуется:
- за сутки до анализа – не употреблять или сократить до минимума употребление кофеина, танина и других веществ, влияющих на давление и тонус сосудов;
- за сутки – не употреблять алкоголь;
- за 2-3 часа – не курить;
- за несколько часов – избегать физических нагрузок;
- за 15-20 минут – присесть, успокоиться и расслабиться;
- за 4-8 часов – не пить и не есть;
- снять зубные протезы.
Порядок процедуры
Чтобы провести полноценный анализ потребуется 20-30 минут. Результат во многом зависит от состояния пациента и профессионализма специалиста. Необходимо соблюдать спокойствие и выполнять все указания.
Порядок проведения:
- Наносят на область грудной клетки специальный гель с проводящими свойствами. Через него сигналы активнее двигаются в тканях.
- Используя датчик, специалист исследует разные сердечные отделы, сосуды, показатели гемодинамики.
- Исследуют кровоток в исследуемой области. Определяют его направление и скорость, есть ли в этой зоне турбулентность, тромбы и прочие образования, препятствующие кровотоку.
- Определяют морфологию сосудистых изменений – нет ли внутри них аневризм, атеросклеротических бляшек, стенозов.
- По окончании исследования специалисты заполняют бланк, в который вписывает полученные результаты. Они служат основанием для предварительного диагноза.
Диагностируемые патологии
Чтобы качественно оценить функциональные способности сердца и крупных сосудов, которые расположены поблизости с ним, необходимо исследовать параметры кровотока. В связи с этим большинство систем эхокардиографии имеют допплеровское оборудование и соответствующее программное обеспечение.
На основании анализа врачи получают возможность:
- выявить патологические изменения направления кровотока;
- исследовать митральный и трехстворчатый клапаны, и подсчитать их эффективную площадь;
- оценивать турбулентность в состоянии нормального направления движения крови;
- зафиксировать давление в камерах сердца и прочие геодинамические показатели – выталкиваемый объем крови, диастолические способности желудочков и т.д.
Ишемическая болезнь сердца
Ишемической болезнью сердца (ИБС) называют патологическое состояние, при котором в миокарде нарушается кровообращение. Причина ИБС – поражение коронарных артерий. Пациенты, страдающие этой патологией, жалуются на одышку, слабость, нарушение ритма сердца, отеки на ногах, боли за грудиной, возникающие при стрессах и физических нагрузках.
ИБС долгое время может быть бессимптомной, и диагностировать ее можно только с помощью эходопплеркардиографии. Специалист с помощью аппарата оценивает систолические и диастолические характеристики желудочков, сократительные способности миокарда – их определяют локально (сегментарно или регионально).
Из-за ИБС могут развиться патологии, которые позволяет обнаружить эходопплеркардиография :
- стенки левого желудочка (ЛЖ) меняют свою сегментарную сократимость;
- снижается качество функционирования ЛЖ, падает минутный объем, нарушается скорость наполнения;
- в момент систолы сокращение сердечных желудочков с выбросом крови в аорту из ЛЖ и в легочный ствол из правого желудочка) наблюдается аномальный кровоток.
На заметку!С помощью эходопплеркардиографии контролируют качество работы искусственных сердечных клапанов, чтобы своевременно принять меры для предотвращения сбоя или устранения некорректной работы.
Аортальный стеноз
Аортальным стенозом называют патологию, связанную с сужением устья аорты. Причиной ее возникновения является сращение створок клапанов, приводящее к замедлению поступления крови из аорты в ЛЖ.
При обследовании ЭхоКГ с допплером определяют:
- как работает каждый сердечный клапан;
- каковы размеры желудочков сердца, и насколько качественно они работают;
- гемодинамические показатели.
Стеноз (стойкое сужение) аорты бывает как врожденным, так и приобретенным. Существует несколько факторов, провоцирующих эту патологию, но наиболее часто аортальный стеноз возникает после перенесенных воспалительных заболеваний, приводящих к сращиванию створок. К подобным болезням относят ревматическую лихорадку, инфекционное поражение сердечных тканей и т.п.
Диагностируют артериальный стеноз, если эхокардиограмма показывает, что створки клапанов увеличились в плотности и толщине, а аортальное отверстие уменьшило свою площадь (норма – 3-4 кв. см). Также при стенозе ухудшается раскрытие створок в моменты систолы.
Митральная недостаточность
Это одна из самых частых патологий митрального клапана. Она характеризуется обратным током крови, которое сопровождает каждое сокращение ЛЖ. При такой работе клапана развивается стойкая сердечная недостаточность. Появление патологии связано с нарушением работы и строения створок, приобретенные дефекты околоклапанных структур, а также увеличение митрального просвета.
Ключевой диагностический признак митральной недостаточности – турбулентный поток в ЛЖ в момент систолы. Есть и ряд косвенных симптомов патологии:
- увеличиваются размеры левой части сердца во время систолы и диастолы (состояние сердечной мышцы во время сердцебиения в интервалах между систолами);
- преждевременно закрывается аортальное отверстие;
- растет амплитуда движений аортального корня.
Эходопплеркардиография также позволяет диагностировать:
- эндокардит;
- кардиомиопатию;
- постинфарктный кардиосклероз;
- мерцательную аритмию.
Исследование также позволяет определять риски тромбоэмболии и другие болезни сердца.
Как расшифровать результаты
Расшифровывает результаты и интерпретирует их кардиолог или терапевт. Если данные сомнительны, назначают повторное исследование.
В протоколе отмечают значения следующих параметров:
- показатели насосных функций сердца;
- степень сократительной способности миокарда;
- показатели сократимости;
- выполнение функций сердечными клапанами;
- наличие патологий (рубцы, аневризмы, тромбы и т.д.), их влияние на сердечную деятельность и работу всей кровеносной системы;
- гипертрофия сердечных стенок – если таковая имеется;
- обратное движение крови по сердечным клапанам – если таковое имеется.
Показатели в норме:
- в момент завершения систолы правый желудочек – 9-25 мм;
- в момент завершения цикла расслабления задней стенки ЛЖ – 6-11,2 мм;
- перегородка между желудочками в момент завершения диастолы – 6-11,2 мм;
- диаметр устья аорты – 2-3,7 мм;
- индекс сердца – 2-4,1 л/минуту;
- устье легочной артерии – 18-24 мм, ствола – до 30 мм;
- признаки дисфункции – нет;
- выброс – 55-60%;
- скорость перемещения крови в сонной артерии – 17-27 см/с.
Сколько стоит процедура
Стоимость исследования определяется уровнем лаборатории, квалификацией специалиста, регионом и прочими особенностями. В государственных больницах и клиниках процедуру могут проводить бесплатно. Частные клиники за анализ берут от 1,4 до 3,6 тыс. руб.
Зависимость цены анализа от региона, тыс. руб.:
- Москва – 1,6-3,6;
- Санкт-Петербург – 1,5-3,6;
- Новосибирск – 1,4-2,9.
Эхо-КГ, выполняемая параллельно с доплеровским анализом, позволяет существенно расширить возможности традиционной процедуры. В настоящее время этот метод исследования отличается повышенной информативностью и считается лидером кардиодиагностики.
Вопрос-ответ
Как проходит процедура допплерэхокардиографии?
Процедура допплерэхокардиографии обычно занимает от 30 до 60 минут. Пациент ложится на спину, и на грудную клетку наносятся специальные гели для улучшения контакта с датчиками. Врач использует ультразвуковой датчик, который перемещает по поверхности груди, чтобы получить изображения сердца и оценить его функции. Важно оставаться спокойным и не двигаться во время исследования.
Какая подготовка необходима перед проведением допплерэхокардиографии?
Перед проведением допплерэхокардиографии специальная подготовка не требуется. Однако рекомендуется прийти на исследование в удобной одежде и без украшений на груди. Если у вас есть хронические заболевания или вы принимаете какие-либо лекарства, стоит сообщить об этом врачу перед процедурой.
Как интерпретируются результаты допплерэхокардиографии?
Результаты допплерэхокардиографии интерпретируются врачом-кардиологом, который анализирует полученные изображения и данные о кровотоке. Он оценивает размеры и функции сердца, состояние клапанов и наличие возможных патологий. Заключение будет содержать рекомендации по дальнейшим действиям или лечению, если это необходимо.
Советы
СОВЕТ №1
Перед проведением допплерэхокардиографии рекомендуется проконсультироваться с врачом о возможных противопоказаниях и особенностях вашего состояния. Это поможет избежать нежелательных ситуаций и получить наиболее точные результаты.
СОВЕТ №2
Убедитесь, что вы правильно подготовились к процедуре: избегайте тяжелой пищи и алкоголя за несколько часов до исследования. Это поможет снизить вероятность дискомфорта и улучшить качество изображения.
СОВЕТ №3
Во время процедуры старайтесь оставаться спокойными и расслабленными. Это не только поможет вам чувствовать себя комфортнее, но и позволит врачу получить более точные данные о работе вашего сердца.
СОВЕТ №4
После завершения исследования обязательно обсудите результаты с вашим врачом. Он сможет объяснить, что означают полученные данные, и предложить дальнейшие шаги, если это необходимо.


