
Этиология и патогенез
В норме позвонок состоит из тела и отростков, которые расположены на дуге. Тело смыкается с самой дугой ножкой, образуя межпозвонковое пространство. Верхний позвонок С1 обеспечивает сочленение шеи и головы, что исключает вероятность наличия тела. Внешне на задней дуге отмечается борозда с артерией и затылочным нервом.
При синдроме Киммерли аномалия локализуется в области дуги С1. Образования представлены в виде тонкого мостика, при этом ограничивается пространство позвоночной артерии, нарушается кровоток и раздражается затылочный нерв. Существует 2 варианта аномалии:
- Оссификация.
- Разрастание бороздки, где залегает сосуд.
Синдром носит врождённый либо приобретённый характер. В первом случае подтверждается факт доминантного наследования. Во втором же аномалия развивается после травмы либо нарушения структуры позвоночника. На общее самочувствие пациента и прогноз прямое влияние оказывает клиническая картина. Чаще костную перемычку врачи находят случайно, когда пациент обращается за медицинской помощью из-за спазма, васкулита или после травмы.
Аномалия Киммерли, характеризующаяся наличием дополнительной костной дуги над первым шейным позвонком, может вызывать различные симптомы, включая головные боли, головокружение и нарушения координации. Врачи отмечают, что многие пациенты не испытывают выраженных симптомов, однако в некоторых случаях аномалия может приводить к компрессии сосудов и нервов, что требует внимательного наблюдения.
Лечение синдрома может варьироваться от консервативных методов, таких как физиотерапия и медикаментозная терапия, до хирургического вмешательства в более тяжелых случаях. Специалисты подчеркивают важность индивидуального подхода к каждому пациенту, учитывая его клинические проявления и общее состояние здоровья. Регулярные консультации с неврологом и ортопедом помогут своевременно выявить и скорректировать симптомы, что существенно улучшит качество жизни пациентов с данной аномалией.

Аномалия Киммерли, представляющая собой аномальное развитие атлантоосевого соединения, вызывает у врачей значительное беспокойство из-за разнообразия симптомов, которые могут проявляться у пациентов. Среди наиболее распространенных признаков выделяются головные боли, головокружение, боли в шее и нарушения слуха. Врачи отмечают, что эти симптомы могут быть связаны с компрессией сосудов и нервов, что требует внимательного подхода к диагностике и лечению.
Лечение синдрома Киммерли может варьироваться в зависимости от степени выраженности симптомов. Врачами рекомендуется консервативная терапия, включающая физиотерапию, мануальную терапию и медикаментозное лечение для снятия болевого синдрома и улучшения кровообращения. В случаях тяжелых проявлений, когда консервативные методы не приносят облегчения, может рассматриваться хирургическое вмешательство. Важно, чтобы пациенты проходили регулярные обследования и находились под наблюдением специалистов, чтобы избежать возможных осложнений.
Причины и классификация болезни
Точных причин появления костного кольца не выявлено. Генетическое наследование является фактором-провокатором врождённой формы , но существует и другая этиология развития болезни:
- вредные привычки;
- плохая экология;
- результат порока развития плода.
Приобретённая форма возникает на фоне разных повреждений шейного отдела, включая остеохондроз, остеофит, травму и дегенерацию связочного аппарата.
Неврологи различают 2 вида синдрома. В первом случае появляется костная дужка, которая соединяет суставной отросток атланта и его заднюю дугу. Во втором аномалия представлена в виде костной дужки, расположенной между суставным и поперечным отростками. Патология любой формы имеет одно- или двухсторонний характер.
Также неврологи классифицируют аномалию Киммерли на 2 формы — полную и неполную. При полной дужка представлена в виде полукольца, а при неполной возникает дугообразный вырост справа либо слева от позвонка.
Клиническая картина
При болезни страдают задние отделы мозга из-за недостаточного притока крови. Появляются «мушки» перед глазами и проблемы со слухом. Признаки усиливаются при повороте головы. Так как нарушается кровоснабжение мозжечка, больной может жаловаться на головокружение и шаткую походку.
Перенапряжение мышц шеи приводит к потере сознания и внезапному возникновению мышечной слабости. В тяжёлом случае синдром сопровождается мигренью, тремором конечностей, гипестезией. Другие симптомы болезни:
- чувство удушья;
- ощущение жара в голове и шее;
- страх.
На тяжёлое течение патологии указывают нистагм и ишемическая атака. В этом случае пациент нуждается в срочной врачебной помощи. После купирования приступа проводится дифференциальная диагностика с целью исключения заболеваний сердца и неврологических патологий.
Аномалия Киммерли — это редкое анатомическое состояние, которое вызывает множество обсуждений среди медиков и пациентов. Люди, страдающие от этого синдрома, часто отмечают такие симптомы, как головные боли, головокружение и боли в шее. Некоторые пациенты сообщают о нарушениях слуха и зрительных расстройствах. Важно отметить, что проявления могут варьироваться от легких до тяжелых, что затрудняет диагностику.
Лечение аномалии может включать консервативные методы, такие как физиотерапия и медикаментозная терапия, направленные на облегчение симптомов. В более сложных случаях может потребоваться хирургическое вмешательство для устранения компрессии нервов. Многие пациенты подчеркивают важность индивидуального подхода к лечению, так как каждый случай уникален. Обсуждения на форумах и в медицинских сообществах помогают людям лучше понять свое состояние и находить поддержку.

Аномалия Киммерли — это редкое анатомическое состояние, которое вызывает интерес у специалистов и пациентов. Люди, страдающие от этого синдрома, часто сообщают о головных болях, головокружении и болях в шее. Симптомы могут варьироваться от легких до тяжелых, что затрудняет диагностику. Многие пациенты отмечают, что симптомы усиливаются при физической активности или длительном нахождении в одной позе. Лечение аномалии может включать консервативные методы, такие как физиотерапия и медикаментозная терапия, а в более сложных случаях — хирургическое вмешательство. Важно, чтобы пациенты обращались к специалистам для получения индивидуального подхода к лечению, так как каждый случай уникален. Обсуждение с врачом поможет выбрать наилучший курс действий и улучшить качество жизни.
Синдром у ребёнка
Аномалия, связанная со строением позвонка С1 у ребёнка, протекает во врождённой либо приобретённой формах. В последнем случае синдром приводит к сколиозу. Факторы, провоцирующие аномалию у детей:
- травмы;
- физические нагрузки.
У ребенка может наблюдаться слабость, тошнота, низкая выносливость при физической нагрузке, нестабильность психики. Если заболевание не сопровождается клинической картиной, характерной для врождённой формы, то для мальчиков в дальнейшем её появление не станет показанием для освобождения от армии.
При отсутствии лечения болезнь прогрессирует. У пациента ухудшается память, наблюдаются периодические потери сознания. Самым опасным последствием аномалии считается острое кислородное голодание головного мозга с последующим инфарктом или инсультом. Приступ приводит к инвалидности, параличу, а иногда и к смерти.
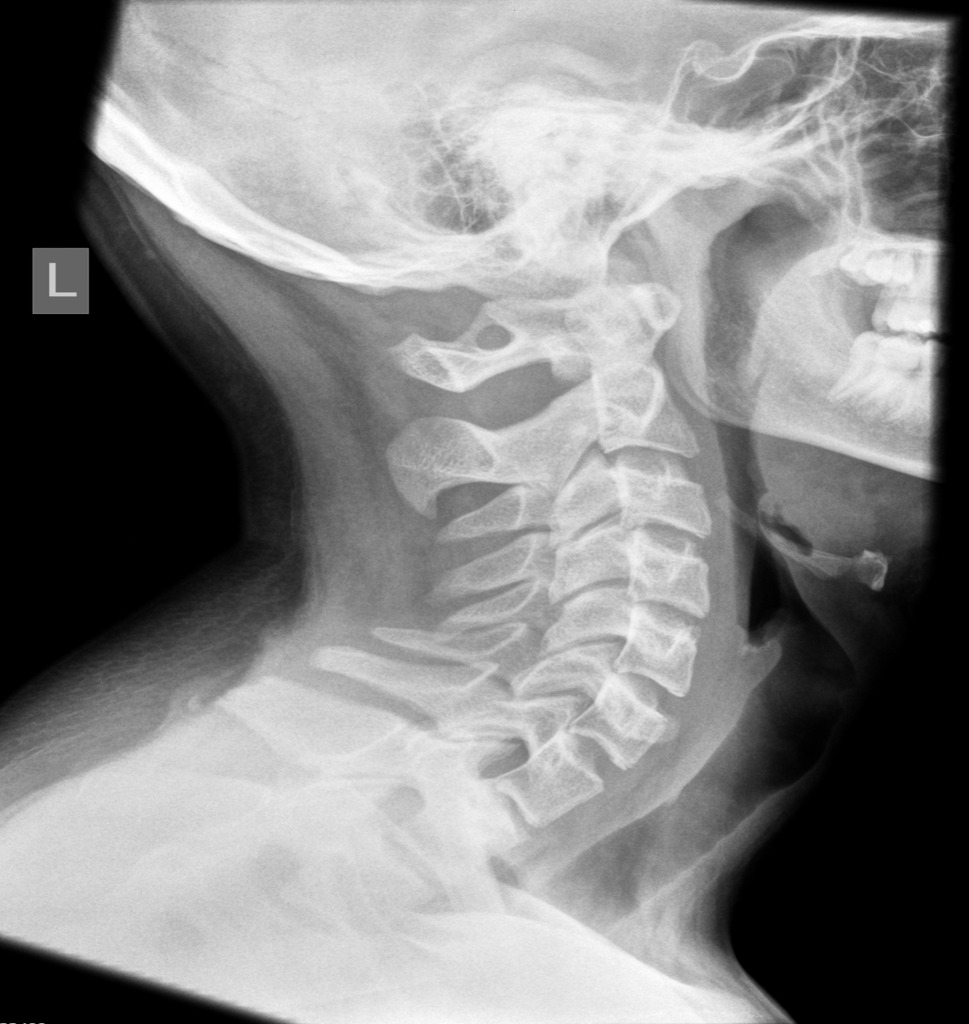
Проведение диагностики
Для постановки диагноза назначается рентгенография черепа и шейного отдела. Аномалия Киммерли чётко видна на рентгенограмме при обследовании краниовертебрального перехода. Если пациент жалуется на ушной шум, чтобы исключить лор-болезнь, требуется консультация отоларинголога. Проводится аудиометрия, при необходимости назначаются дополнительные методы исследования слуха.
Так как патология не провоцирует синдром позвоночной артерии, невролог исключает иную этиологию. Для выявления тромбоза либо аневризмы сосудов мозга проводится ангиография с контрастным веществом. Чтобы определить степень влияния син дрома на кровообращение, применяются следующие гемодинамические исследования:
- дуплексное сканирование;
- магнитно-резонансная ангиография;
- УЗДГ сосудов.
С помощью вышеперечисленных методик врач выявляет область, где сдавлена позвоночная артерия, её зависимость от положений шеи и головы.

Методы терапии
Первичная терапия направлена на устранение клинических и гемодинамических признаков нарушения кровообращения, а вторичная — на причину, спровоцировавшую болезнь. Таким пациентам запрещены спортивные занятия.
Основная задача консервативного лечения — нормализация скорости и объёма кровотока в позвоночной артерии. Дополнительно нужно улучшить механические характеристики крови. Чтобы нормализовать показатели кровотока, нужно лечить пациента медикаментами (Кавинтон, Девинкан), а для улучшения вязкости крови показан приём Трентала, Пентоксифиллина. Терапия дополняется следующими препаратами:
- Нейропротекторы (Актовегин, Церебролизин). Защищают нейроны ГМ от отрицательного влияния.
- Метаболитики (Милдронат, Пирацетам). Регулируют протекание обменных процессов.
- Антиоксиданты (Мексидол). Лекарства предназначены для ингибирования окисления.
- Ноотропные средства (Нобен). Улучшают метаболизм в нервных тканях.
Если боль носит выраженный характер, то показан приём спазмолитических средств. Пациенту проводится блокада артерий, находящихся в области проблемного участка. Для этого используется новокаин.
При аномалии показана лечебная гимнастика. С помощью растяжек грамотно укрепляются мышцы шеи, снижается их давление на позвонки, сохраняется толщина хрящей. Чтобы жить с таким диагнозом, рекомендуется заниматься аэробикой в пониженном темпе (степпер, ходьба, эллипс). Гимнастика обеспечивает мозг дополнительным притоком кислорода.
Лечение включает курс массажа, мануальную методику. Но возможны и противопоказания к массажу в области воротниковой зоны:
- высокое давление спинномозговой жидкости;
- обильный приток крови к затылку.
Чтобы улучшить функционирование центральной нервной системы, применяется краниосакральная терапия. Продолжительный и выраженный расслабляющий эффект обеспечивается иглоукалыванием.
Хирургическое вмешательство необходимо, если признаки синдрома не устраняются консервативными методами, пациента продолжают беспокоить обмороки, проблемы со слухом и зрением прогрессируют. Для проведения операции используются приборы оптического усиления.
Доступ осуществляется через маленький разрез в области атланта. Обнажается его задняя дуга, удаляется костный мостик. На оперированном участке артерии визуально различаются рубцы и сужения. Такие изменения подтверждают патогенетическую значимость синдрома. Если выявлены рубцы, их иссекает хирург во время операции.
После вмешательства шейный отдел фиксируется на 2 недели воротником Шанца. Показана спазмолитическая терапия Но-шпой. Послеоперационные осложнения диагностируются редко. У 95% пациентов нормализуется кровоток, устраняется симптоматика. После хирургического вмешательства, проведенного из-за аномалии Киммерли, продолжительность жизни равняется средней по статистическим данным.
Прогноз и профилактика
Прогноз жизни пациентов с синдромом благоприятен. По статистике большинство пациентов с рассматриваемым диагнозом умирает по другим причинам. С теоретической точки зрения, аномалия способна увеличить риск развития инсульта, что отрицательно скажется на качестве жизни и трудоспособности пациента.
Но в большинстве случаев больным рекомендуется только наблюдаться у невролога, чтобы своевременно принять профилактические меры против возникновения синдрома позвоночной артерии. Чтобы предотвратить болезнь, необходимо постоянно поддерживать подвижность шейных позвонков, сохраняя целостность всего позвоночника, хрящей и связок.
Если у пациента выявлена склонность к остеохондрозу, показан приём БАДов, обеспечивающих питание и укрепление хрящей и тканей и предотвращающих компрессию дисков. Средства должны содержать в своем составе:
- глюкозамин;
- коллаген;
- витамины;
- хондроитин.
Синдром Киммерли позволяет полноценно жить. Но чтобы не спровоцировать обострение, нужно соблюдать рекомендации лечащего врача.
Вопрос-ответ
Что такое аномалия Киммерли и как она влияет на здоровье?
Аномалия Киммерли — это врожденное состояние, при котором возникает дополнительная костная структура в области атлантоосевого соединения, что может приводить к компрессии позвоночной артерии и нервных корешков. Это может вызывать головные боли, головокружение, боли в шее и другие неврологические симптомы.
Как диагностируется аномалия Киммерли?
Диагностика аномалии Киммерли обычно включает в себя медицинский осмотр, а также визуализирующие исследования, такие как рентгенография, МРТ или КТ шейного отдела позвоночника. Эти методы помогают выявить наличие аномалии и оценить степень её влияния на окружающие структуры.
Какие методы лечения применяются при аномалии Киммерли?
Лечение аномалии Киммерли может варьироваться в зависимости от выраженности симптомов. В некоторых случаях достаточно консервативного подхода, включающего физиотерапию и медикаментозное лечение для облегчения боли. В более тяжелых случаях может потребоваться хирургическое вмешательство для устранения компрессии.
Советы
СОВЕТ №1
Обратите внимание на ранние симптомы. Аномалия Киммерли может проявляться различными симптомами, такими как головные боли, головокружение и шум в ушах. Если вы заметили у себя эти признаки, не откладывайте визит к врачу для диагностики.
СОВЕТ №2
Регулярно проходите медицинские обследования. Если у вас есть предрасположенность к заболеваниям шейного отдела позвоночника или вы уже сталкивались с проблемами, важно регулярно проверять состояние здоровья и следить за изменениями.
СОВЕТ №3
Обсудите с врачом возможные методы лечения. Лечение аномалии Киммерли может включать как консервативные методы (физиотерапия, медикаменты), так и хирургическое вмешательство. Обсудите с врачом все доступные варианты и выберите наиболее подходящий для вас.
СОВЕТ №4
Занимайтесь профилактикой. Укрепление мышц шеи и спины с помощью физических упражнений может помочь снизить риск обострения симптомов. Проконсультируйтесь с физиотерапевтом для составления индивидуальной программы тренировок.



